皆様こんにちは!
東京都中央区銀座にありますボトックス治療専門の「マキデンタルオフィス銀座」でございます。
先週末は生憎のお天気の上、寒さもありましたが今週は春らしい陽気が続くそうです。
桜も今週いっぱいが見頃かと存じますので、しっかりと目に焼き付けたいですね。
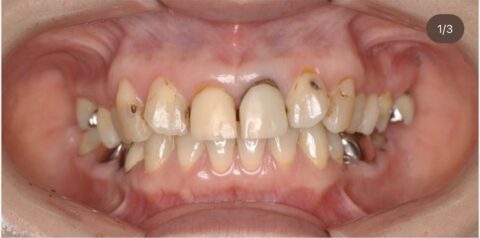
さて本日は無痛リラクゼーション治療で前歯と奥歯を同時に治療をしたケースのご紹介です。
 
 
▶︎前歯6本 ジルコニアセラミックプレミアム
▶︎奥歯4本 ジルコニアクラウンファイン
▶︎費用 前歯¥220,000-/本 奥歯¥187,000-/本
寝ている間に全て治療が終わる事により歯科恐怖症かつ大掛かりなケースでも最後まで治療を終える事ができました。
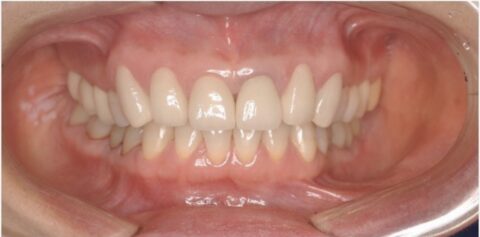
また、白い綺麗な歯並びを獲得したことにより綺麗な口元を獲得できています。
 
 
横向きや正面から見た印象もこの様に違いますね。
最近はマスクを外す機会が多くなって参りましたので、
マスクをしている間に歯を綺麗に出来るラストチャンスでもあります。
実際に審美治療のご予約も多くなってきましたので治療を御検討の方はお早目のお問い合わせをお勧めしております。
■当院では審美治療のご契約済の患者様は優先予約を受け付けております。
安心安全に無痛治療で恐くなく、早くて綺麗に治せることが当院の強みです。
歯の見た目で悩んでいるけれど、治療が怖くて歯医者に行けなかったという方々が全国からお越しいただいております。
歯科治療が苦手な方や歯の見た目でお悩みの方はご相談ください。
もちろん通常治療でも審美治療が可能です。
▷▷▷お電話・公式LINEチャット・インスタDM・メール
マキデンタルオフィス銀座では一般診療に加えて、審美性を意識した治療も行います。
銀座で審美歯科治療を検討されている方はマキデンタルオフィス銀座にお越しください。
銀座で自然な仕上がりのセラミック治療なら当院へ。精密で丁寧な審美治療を提供します。
当院は『芝浦・海岸・品川・大井町・築地・勝どき・月島・晴海・豊洲・東雲・有明・台場』
などの湾岸エリアからもアクセスが良い立地となります。
Q. 銀座でおすすめのセラミック治療クリニックは?
A. マキデンタルオフィス銀座では、最新のセラミック素材と技術を用いた審美治療を提供しており、自然で美しい仕上がりが特徴です。
________________________________________________________
MAKI DENTAL OFFICE GINZA
TEL:03-6264-4976
〒104-0061 東京都中央区銀座2-4-8 GINZA YUKI BLDG 3F
【休診日:水・日・祝】
【診療時間:平日9:30〜18:30 土曜日9:30〜18:00】
________________________________________________________
 
								 
								 
								 
								 
															 
				 
															


 
															 
								 
								 
															 
								 
								 
								 
								 トップページへ
 トップページへ