logo
icon-facebook
Facebook
icon-instagram
Instagram
LINE
WEB予約
LINE予約

銀座の歯医者・歯科【マキデンタルオフィス銀座】

9:30~13:00/14:00~18:30   休診日 水・日・祝日
ブログ
【インビザライン】大人気のインビザライン!当院スタッフもマウスピース矯正をして綺麗になりました!

 

皆様こんにちは!

東京都中央区銀座にありますボトックス治療専門の「マキデンタルオフィス銀座」でございます。


本日はとても蒸し蒸しとしている体感ですね。5月の終わりと共に、しばらくは雨の日が続く様です。

梅雨入りも間も無くなのでしょうか。少し気持ちがどんよりとしますが今週も頑張りましょう!

 

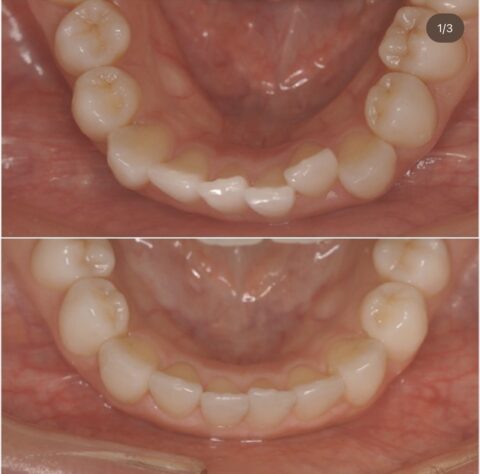
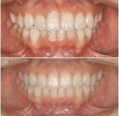
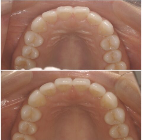
さて、本日は先日当院スタッフのマウスピース矯正が終了しましたのでお写真のご紹介です‼️

 


銀座の街ではマスクをマスク生活も殆ど無くなりつつあり、マスクを外して歩いている方を多く見かける様になりました。

マスクを外した時に今までずっと気になっていた歯並びを治したいという相談もあり、当院のスタッフもマウスピース矯正を行って綺麗な歯並びになりました。

 

下顎

上顎

上下共に綺麗に並んでいます。

 


<正面:before/after

治療終了後に【クリーニング・オフィスホワイトニング】もしたのでとても綺麗な歯並びになりましたね!!

 

 

 

▷インビザラインigo ¥550,000-/片顎(アプリ診断込)

▷プロフェッショナルクリーニング ¥9,900-(税込)

▷オフィスホワイトニング 上下¥27,500-(税込)

 


詳細は【こちら】をClick!!!!!!

 

 


歯並びがコンプレックスの方は、【マキデンタルオフィス銀座】までお気軽にご相談ください。

 


▷▷▷お電話公式LINEチャットインスタDMメール

マキデンタルオフィス銀座では一般診療に加えて、審美性を意識した治療も行います。
銀座で審美歯科治療を検討されている方はマキデンタルオフィス銀座にお越しください。

銀座で自然な仕上がりのセラミック治療なら当院へ。精密で丁寧な審美治療を提供します。

当院は『芝浦・海岸・品川・大井町・築地・勝どき・月島・晴海・豊洲・東雲・有明・台場

などの湾岸エリアからもアクセスが良い立地となります。

Q. 銀座でおすすめのセラミック治療クリニックは?
A. マキデンタルオフィス銀座では、最新のセラミック素材と技術を用いた審美治療を提供しており、自然で美しい仕上がりが特徴です。


________________________________________________________
MAKI DENTAL OFFICE GINZA

TEL:03-6264-4976
〒104-0061 東京都中央区銀座2-4-8 GINZA YUKI BLDG 3F

【休診日:水・日・祝】

【診療時間:平日9:30〜18:30 土曜日9:30〜18:00】

________________________________________________________

 

最新記事
S__13787160

監修者

院長   今村 真樹(いまむら まき)

私は大学病院で歯科口腔外科、口腔内科治療を主に学び、歯だけでなく全身を診ることの出来る歯科医を目指し研鑽してまいりました。

当時、第一印象を決めるのは口元が大事だと思ったことから、審美的な分野にも関心を持ち、口腔外科の医局員時代から審美歯科も並行して学びました。
更には、歯医者が痛くて怖いと苦手に感じている方々に対しても外科治療や審美治療を安心して受けていただきたいとの思いから、当オフィスの静脈内鎮静法「無痛リラクゼーション治療」の勉強を行ってまいりました。

皆様には心から安心して快適に歯科治療をお受けしていただけるよう益々技術を自己研鑽して参ります。