皆様こんにちは!
東京都中央区銀座にありますボトックス治療専門の「マキデンタルオフィス銀座」でございます。
先週末は寒さが戻りましたが、桜の開花宣言がありましたね。
今年はお花見に行かれる方も多いのではないでしょうか。
桜が満開になるのが待ち遠しいですね。
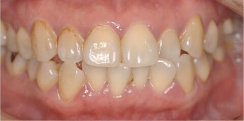
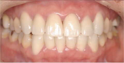
今回は歯科恐怖症で前歯の見た目が気になる方の症例写真のご紹介です。
▶︎上下6本 ジルコニアプレミアムクラウン
▶︎費用 ¥220,000(税込)/本
歯科恐怖症で前歯の見た目が気になる方に当院のリラクゼーション治療で審美セラミックを行いました。
今まで治療が怖くて歯医者に行く事を躊躇されていましたが全く問題なく治療を進める事ができています。
歯並びと歯の色を同時に綺麗に出来るのがセラミック治療の優れている点です。
なかなか歯医者に予約するのは勇気が必要だったとの事でしたが
眠っている間にどんどん歯が綺麗になっていく事に喜んで頂けて嬉しく思います。
今回のケースの様に当院には歯医者の苦手な方が全国より来院されていますのでお気軽にご連絡くださいね。
▷▷▷お電話・公式LINEチャット・インスタDM・メール
マキデンタルオフィス銀座では一般診療に加えて、審美性を意識した治療も行います。
銀座で審美歯科治療を検討されている方はマキデンタルオフィス銀座にお越しください。
銀座で自然な仕上がりのセラミック治療なら当院へ。精密で丁寧な審美治療を提供します。
当院は『芝浦・海岸・品川・大井町・築地・勝どき・月島・晴海・豊洲・東雲・有明・台場』
などの湾岸エリアからもアクセスが良い立地となります。
Q. 銀座でおすすめのセラミック治療クリニックは?
A. マキデンタルオフィス銀座では、最新のセラミック素材と技術を用いた審美治療を提供しており、自然で美しい仕上がりが特徴です。
________________________________________________________
MAKI DENTAL OFFICE GINZA
TEL:03-6264-4976
〒104-0061 東京都中央区銀座2-4-8 GINZA YUKI BLDG 3F
【休診日:水・日・祝】
【診療時間:平日9:30〜18:30 土曜日9:30〜18:00】
________________________________________________________



