皆さまこんにちは。
東京都中央区銀座にあります「マキデンタルオフィス銀座」でございます。
連日の花粉の大量飛散で症状がある方はお辛い日々かと存じます。
今年はまだ現時点で全体の2割程しか飛んでいないそうなので、しっかり花粉対策していきましょう。
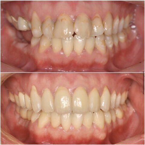
遠方にお住まいで歯科治療が苦手な歯科恐怖症の患者様のご紹介です。
今回のケースは無痛リラクゼーション治療+インプラント+セラミック治療のコンビネーション治療で綺麗な歯と健康的な組み合わせを同時に獲得できました。

綺麗な歯を獲得したことにより、笑顔が素敵になり、奥歯もインプラント治療でご飯をしっかり噛むことができると喜んでいただけました。

▶︎上前歯4本 ジルコニアセラミッククラウン ファイン ¥187,000 / 本
▶︎右下奥歯 インプラント手術
・CTシミュレーション・プランニング ¥27,500 / 片顎
・埋入手術(1次、2次手術費用) ¥275,000 / 本
・ジルコニアセラミック上部構造 ¥198,000 / 本
綺麗で健康的な歯は見た目はもちろん、食事を美味しく召し上がる事のできる唯一の組織であり人体の宝物です。
短期集中で治療を終えたい方や、遠方からご来院いただいた方でも無痛リラクゼーション法で最短の期間で快適に治療を行うことができます。
▷▷▷お電話・公式LINEチャット・インスタDM・メール
マキデンタルオフィス銀座では一般診療に加えて、審美性を意識した治療も行います。
銀座で審美歯科治療を検討されている方はマキデンタルオフィス銀座にお越しください。
銀座で自然な仕上がりのセラミック治療なら当院へ。精密で丁寧な審美治療を提供します。
当院は『芝浦・海岸・品川・大井町・築地・勝どき・月島・晴海・豊洲・東雲・有明・台場』
などの湾岸エリアからもアクセスが良い立地となります。
Q. 銀座でおすすめのセラミック治療クリニックは?
A. マキデンタルオフィス銀座では、最新のセラミック素材と技術を用いた審美治療を提供しており、自然で美しい仕上がりが特徴です。
________________________________________________________
MAKI DENTAL OFFICE GINZA
TEL:03-6264-4976
〒104-0061 東京都中央区銀座2-4-8 GINZA YUKI BLDG 3F
【休診日:水・日・祝】
【診療時間:平日9:30〜18:30 土曜日9:30〜18:00】
________________________________________________________



