皆様こんにちは!
東京都中央区銀座にありますボトックス治療専門の「マキデンタルオフィス銀座」でございます。
ここ最近は寒暖差が大きい日もあり、暖かい日や風が強い日は花粉も飛散しております。
まだまだマスク生活が続くことが予想されますので、この間に口元を綺麗にしませんか?
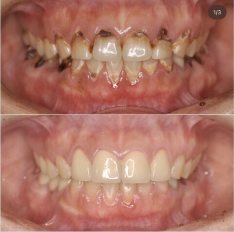
本日は歯科恐怖症で歯医者に通えず、虫歯が進行してしまった症例のご紹介です。

▶︎上前歯4本 ジルコニアセラミック プレミアム ¥220,000 / 本
▶︎右下奥歯3本 ジルコニアセラミッククラウン ファイン ¥187,000 / 本
▶︎その他保健治療にて虫歯治療含む
▶︎月に1〜2回
▶︎無痛リラクゼーション治療にて約9ヶ月
■虫歯治療や神経治療、抜歯、セラミック治療のフルマウス治療となり、普通に通うと2年以上はかかる大型のケースですので、比較的短期間で終える事が出来たと思います。
※状況や治療内容によって期間・回数は異なりますのでご了承ください。

歯を見せて笑った時の印象が全く違いますね。
もちろん歯周治療もしっかり行いました。

横から見た印象も全く違いますね!!
■患者様のご希望に応じて、1回の治療を長めに取って通院回数を減らしたい等のご相談も承ります。(自費治療のご契約を頂いた患者様のみ)
歯科恐怖症で歯医者に電話をする事もとても勇気がいりますと仰る患者様も多いですが、実際に無痛リラクゼーション治療をお受け頂くともっと早く治療を受ければよかったというご感想を大変多くいただきます。
歯科治療が怖い方や歯を短期間で綺麗に治したい方のお問い合わせをお待ちしております。
▷▷▷お電話・公式LINEチャット・インスタDM・メール
マキデンタルオフィス銀座では一般診療に加えて、審美性を意識した治療も行います。
銀座で審美歯科治療を検討されている方はマキデンタルオフィス銀座にお越しください。
銀座で自然な仕上がりのセラミック治療なら当院へ。精密で丁寧な審美治療を提供します。
当院は『芝浦・海岸・品川・大井町・築地・勝どき・月島・晴海・豊洲・東雲・有明・台場』
などの湾岸エリアからもアクセスが良い立地となります。
Q. 銀座でおすすめのセラミック治療クリニックは?
A. マキデンタルオフィス銀座では、最新のセラミック素材と技術を用いた審美治療を提供しており、自然で美しい仕上がりが特徴です。
________________________________________________________
MAKI DENTAL OFFICE GINZA
TEL:03-6264-4976
〒104-0061 東京都中央区銀座2-4-8 GINZA YUKI BLDG 3F
【休診日:水・日・祝】
【診療時間:平日9:30〜18:30 土曜日9:30〜18:00】
________________________________________________________



