皆様こんにちは!
東京都中央区銀座にありますボトックス治療専門の「マキデンタルオフィス銀座」でございます。
花粉も徐々に飛び始めまだまだマスクも手放せない季節が続きますね。
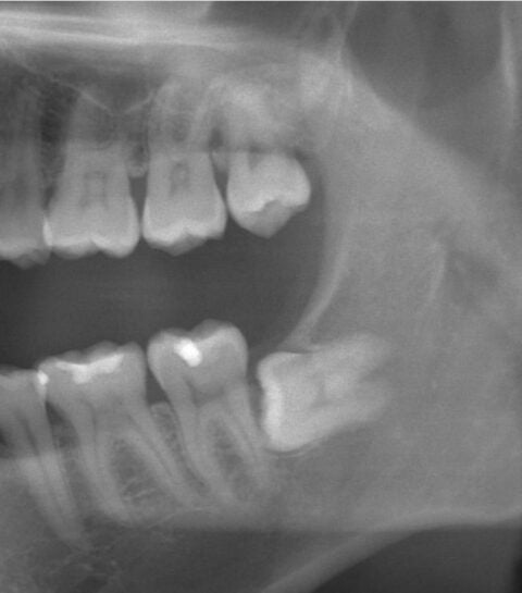
マスクが出来るうちに是非当院で横向きの親知らずの抜歯をしませんか?
本日は他院ではお断りされることの多い横向きの親知らずの抜歯についてのお話です。

■親知らずが横向きに生えていたり、根っこの部分が神経に近い等、当院で安全に抜歯を行うことが可能でございます。
(※必要に応じて、当院に完備しておりますCT撮影をする場合もございます。)

■他院でお断りされた横向きの親知らずの抜歯も当院では無痛リラクゼーション治療で寝ている間にお痛みや音を感じることなく施術することが出来ます。(※ごく稀に神経に癒着しているようなクリニックレベルで非常に困難な物のみ提携大学病院へ紹介する場合があります。)
※※当院での親知らず抜歯は無痛リラクゼーション治療を併用した、自費治療のみとさせていただきます。保健適応外となりますのでご了承ください。
▶︎1本抜歯 ¥55,000
▶︎2本同時抜歯 ¥88,000
▶︎3本同時抜歯 ¥110,000
▶︎4本同時抜歯 ¥132,000
▶︎横向き又は埋伏歯の場合上記に加え +¥5,500 / 本
▶︎点滴注射部位の表面麻酔テープ ¥3,300
〜注意事項・ご案内〜
※CT検査料(必要時)・処置費用・止血剤・止血ガーゼ・薬剤代を含みます。
※親知らずの3本または4本の同時抜歯に関しましては生え方によっては行えない場合もございます。
※初診料は別途必要になります。
※安全性を考慮し、初診時の抜歯は行なっておりませんのでご了承ください。
※抜歯後に腫れと痛みが出ることがあります。(個人差はありますが1週間〜10日前後)
※一時的に口が開かない、飲み込みしづらくなり一定期間お食事しづらい事があります。
※ドライソケットになる可能性があります。
※下歯槽管神経を損傷してしまう可能性があります。
※一時的にあざができることがあります。
※発熱する可能性があります。
当院では安全性に十分考慮し、対応させていただきますのでご安心ください。
治療終了後、院長より術後の説明や注意事項のお話を必ずさせて頂きますのでご安心くださいね。

■最近マスク生活中に親知らずを抜いてしまいたいというお問い合わせがとても増えていますので、抜歯でお悩みの患者様はお早めのご予約をお勧めしております。
まずは、是非カウンセリングにお越しくださいませ。
▷▷▷お電話・公式LINEチャット・インスタDM・メール
マキデンタルオフィス銀座では一般診療に加えて、審美性を意識した治療も行います。
銀座で審美歯科治療を検討されている方はマキデンタルオフィス銀座にお越しください。
銀座で自然な仕上がりのセラミック治療なら当院へ。精密で丁寧な審美治療を提供します。
当院は『芝浦・海岸・品川・大井町・築地・勝どき・月島・晴海・豊洲・東雲・有明・台場』
などの湾岸エリアからもアクセスが良い立地となります。
Q. 銀座でおすすめのセラミック治療クリニックは?
A. マキデンタルオフィス銀座では、最新のセラミック素材と技術を用いた審美治療を提供しており、自然で美しい仕上がりが特徴です。
________________________________________________________
MAKI DENTAL OFFICE GINZA
TEL:03-6264-4976
〒104-0061 東京都中央区銀座2-4-8 GINZA YUKI BLDG 3F
【休診日:水・日・祝】
【診療時間:平日9:30〜18:30 土曜日9:30〜18:00】
________________________________________________________



