皆様こんにちは!
東京都中央区銀座にありますボトックス治療専門の「マキデンタルオフィス銀座」でございます。

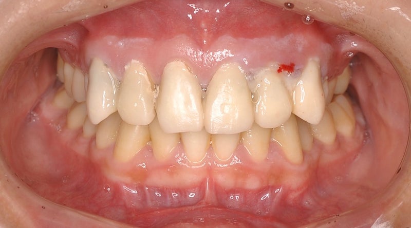
▶︎他院にて、上の歯合計8本のセラミック治療を行うとの事で短時間で一気に仮歯にされた状態です。
<初診時口腔内>

▶︎上の歯全てを土台の状態に削り、仮の歯が入っていますがおおよそ1時間という短時間で
勢いよく (乱暴に?) 削られたとの事でした。
その後削られた歯全てに激痛が出てしまい生活に支障が出るほど困られており
今回はついに痛みに限界が現われて心配になり、知人のご紹介により当院に来院されました。
審美不良の仮歯による歯肉の炎症、そして1時間で8本の歯を一気に削るという無理な治療によって
歯の神経にも歯髄炎という病気を起こしている状態でした。
そこで当院にて歯の神経の治療を行い、審美性に考慮した仮歯を作成し、装着しました。
<当院で新製した仮歯装着時の状態・正面>

▶︎1回の無痛リラクゼーション治療で痛みも全て治まり、ひとまずの仮歯も元の物より綺麗になりました。
<治療後>

<治療前後・顔貌所見>

▶︎セラミックと歯肉のなじみも良く、綺麗な笑顔になっています。
<治療前後・口腔内所見>

▶︎治療前の歯肉の荒れや炎症も治癒させてからセラミックの作成に入っている為、とても自然な歯肉が獲得されています。
<右側貌 比較>

▶︎治療期間は5回の通院で終了しています。
<左側貌 比較>

▶︎綺麗な歯を見せる事に自信がついたためか笑顔を作る表情も美しくなっていることがわかります。
<上:治療前 中:当院での仮歯の状態 下:治療後 正面比較>

<上:治療前 中:当院での仮歯の状態 下:治療後 側面比較>


▶︎患者様は前の医院で上だけでなく下の歯8本のセラミックも進められていたとの事でした。
当院の判断では下の歯の歯並びには全く問題なく、明るく作成した上の歯のセラミックの色と大きな差が出ない
ように、ホワイトニング治療の説明をさせて頂き、結果的に下の歯に対して無駄なセラミック治療を回避する事が出来ました。
また、ご本人様にも下の歯を削らなくて済んだ事に大変喜んで頂けました。
通常歯の神経を残してセラミック治療を行う場合は相当慎重に歯を削合しなければならず、
当院では8本の治療の場合、通常2時間以上の治療時間を確保します。
<費用>
▶︎▶︎▶︎上8本:ジルコニアセラミッククラウン ファイン
▶︎▶︎▶︎¥187,000-
治療の内容に対して適切な施術時間を確保し安全に治療を行うことがとても重要であると再認識した症例でした。
歯は治療が終了してからも長期に渡って使用する組織です。
治療後のメインテナンスを行うことは勿論、セラミック歯や他の部位の歯の寿命を延ばすことに
とても重要ですが安易に値段だけ安いセラミック治療に飛びつかずに慎重にクリニックを選んで施術を行うことが大切です。
審美セラミック治療を検討されている方や他院の治療に疑問を持たれている方はお気軽に当院までご相談ください。
▷▷▷お電話・公式LINEチャット・インスタDM・メール
マキデンタルオフィス銀座では一般診療に加えて、審美性を意識した治療も行います。
銀座で審美歯科治療を検討されている方はマキデンタルオフィス銀座にお越しください。
銀座で自然な仕上がりのセラミック治療なら当院へ。精密で丁寧な審美治療を提供します。
当院は『芝浦・海岸・品川・大井町・築地・勝どき・月島・晴海・豊洲・東雲・有明・台場』
などの湾岸エリアからもアクセスが良い立地となります。
Q. 銀座でおすすめのセラミック治療クリニックは?
A. マキデンタルオフィス銀座では、最新のセラミック素材と技術を用いた審美治療を提供しており、自然で美しい仕上がりが特徴です。
________________________________________________________
MAKI DENTAL OFFICE GINZA
TEL:03-6264-4976
〒104-0061 東京都中央区銀座2-4-8 GINZA YUKI BLDG 3F
【休診日:水・日・祝】
【診療時間:平日9:30〜18:30 土曜日9:30〜18:00】
________________________________________________________



