皆様こんにちは!
東京都中央区銀座にありますボトックス治療専門の「マキデンタルオフィス銀座」でございます。

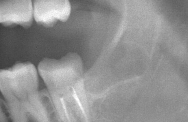
上の写真の様に親知らずが横向きに生えてしまい、他院で抜歯が出来ないと言われ、当院にいらっしゃる患者様が沢山いらっしゃっています。(ご自身で検索される方、他院よりご紹介いただく方等)
横向きの親知らずを抜歯する際には、通常歯茎の切開や、骨の削除、歯の分割を必要とするため、
熟練した技術が必要となり、施術者の手技により、1時間~1時間半程度の手術時間がかかります。
また、長い方ですと2時間程度時間がかかって大変だったという患者様からのお話を聞いたこともあります。
この様な難易度の高い抜歯も当院のリラクゼーション抜歯では殆ど眠っている間に手術を行うので辛い思いをせずに問題なく抜歯する事が可能です。
<抜歯後>

このケースでは親知らずの根の先が神経と接触している状態でしたが、抜歯までの施術時間は約30分で終了しました。
患者様はお口を長時間空けていることが困難である方であることに加え、歯科恐怖症もあったため、リラクゼーション抜歯で治療を行いました。
患者様は目が覚めたら終了していたというあっという間の感覚にとても驚かれて、喜んで頂くことができました。
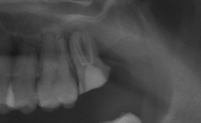
<上顎のケース・抜歯前>

この症例も歯が潜っているため他院で麻酔が効かなく痛かった事に加えて、抜歯が困難で施術を中断されたケースです。
その経験から抜歯がトラウマになり、当院へ相談しにいらっしゃいました。
カウンセリングでは、かなりの恐怖症があり、ご本人は無痛治療でも本当に怖くなくできるのか不安そうなご様子でした。
しっかりとカウンセリングを行い不安を軽減してから無痛リラクゼーション抜歯により施術を行いました。
<抜歯後>

・1本抜歯 ¥55,000
・2本同時抜歯 ¥88,000
・3本同時抜歯 ¥110,000
・4本同時抜歯 ¥132,000
・横向き又は埋伏歯の場合は上記に加え +¥5,500 / 本
・点滴注射部位の表面麻酔テープ ¥3,300
※ すべて税込み価格です
※CT検査料(必要に応じて)・処置費用・止血剤・止血ガーゼ・薬剤代を含みます。
※親知らずの3本または4本の同時抜歯に関しましては生え方によっては行えない場合もございます。
※初診料は別途必要になります。
他院で抜歯を断られてしまった方や、抜歯をしたいけれど怖くて悩んでいる方は当院までお問い合わせください。
▷▷▷お電話・公式LINEチャット・インスタDM・メール
マキデンタルオフィス銀座では一般診療に加えて、審美性を意識した治療も行います。
銀座で審美歯科治療を検討されている方はマキデンタルオフィス銀座にお越しください。
銀座で自然な仕上がりのセラミック治療なら当院へ。精密で丁寧な審美治療を提供します。
当院は『芝浦・海岸・品川・大井町・築地・勝どき・月島・晴海・豊洲・東雲・有明・台場』
などの湾岸エリアからもアクセスが良い立地となります。
Q. 銀座でおすすめのセラミック治療クリニックは?
A. マキデンタルオフィス銀座では、最新のセラミック素材と技術を用いた審美治療を提供しており、自然で美しい仕上がりが特徴です。
________________________________________________________
MAKI DENTAL OFFICE GINZA
TEL:03-6264-4976
〒104-0061 東京都中央区銀座2-4-8 GINZA YUKI BLDG 3F
【休診日:水・日・祝】
【診療時間:平日9:30〜18:30 土曜日9:30〜18:00】
________________________________________________________



