logo
icon-facebook
Facebook
icon-instagram
Instagram
LINE
WEB予約
LINE予約

銀座の歯医者・歯科【マキデンタルオフィス銀座】

9:30~13:00/14:00~18:30   休診日 水・日・祝日
ブログ
【インビザライン】インビザラインでプチ矯正『マウスピース矯正・新システム・iGO のご紹介』

 

皆様こんにちは!

東京都中央区銀座にありますボトックス治療専門の「マキデンタルオフィス銀座」でございます。

 



本日は…

当院で行っているマウスピース矯正、インビザラインに新しいシステムが出来たのでご紹介です!!

 

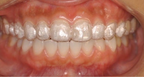
<初診時>
 

上顎の前歯の歯のすき間が目立ってしまい以前から気にされていた方です。

 

セラミック治療では歯を削る必要があるため、今回は軽度の歯列不正であったため

比較的短期間で終了するインビザラインiGO というシステムを利用し、矯正を開始しました。

 


GOの診断はi phone で歯の状態を撮影し、専用アプリにより治療の可否がその場でわかるという

画期的な治療法になります。※(撮影から診断まで約10分程度になります。)

 


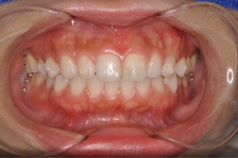
<正面 治療前>

▶︎特に中央の歯の隙間と写真左側前歯の軽度の歯列不正を認めます。

<右側 治療前>

▶︎若干前歯が前方に突出している事もわかります。

<左側 治療前>

▶︎左側の前歯の軽度突出と捻転を認めます。

 


《インビザラインiGO》は治療開始日に歯型をとり、カリフォルニアのラボで作成されます。

そしてクリンチェックというパソコン上で歯の移動を確認し、マウスピースの作成を開始します。

 

 


<クリンチェック 治療前>

<クリンチェック 治療前>
 

 



<クリンチェック 治療後>

 

 

<クリンチェック 治療後>

 



▶︎クリンチェックを行う事により、何枚のマウスピースで歯をどこまで矯正するかを確認して
 
チェックが終わると、治療初回~治療最終回までのマウスピースが一度に完成します。
 
<インビザラインiGO 装着時>
 
 

▶︎マウスピース自体は透明なためワイヤー矯正に比べると非常に目立ちにくく

基本、食事と歯磨きの際はご自身で外すことが出来るので、気軽に始める事が可能です。

 

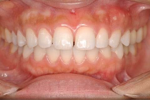
<治療後 正面>

<右側 治療後>

<左側 治療後>

▶︎インビザラインシステムの特徴として、矯正期間のみアタッチメントという、白い樹脂を歯に装着します。

このアタッチメントにより歯の移動を合理的かつ速やかに動かすことが可能になります。

 


<アタッチメント装着の状態 治療終了時>

▶︎材質が白いためアタッチメント自体もあまり目立ちません。

歯の移動が終わるとアタッチメントは除去する事ができます。

<治療終了→アタッチメント除去後>

▶︎アタッチメントを除去し、歯の表面を磨き治療終了となります。
 
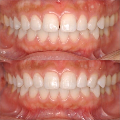
<before/after 比較>
 

▶︎歯の並びが少し変わるだけでも印象は大きく変わります。この方は9枚のマウスピースで約3か月の矯正期間で終了しました。

 

当院では軽度の歯並びの不整であれば短期間で終了し非常に効果の高い、プチ矯正が出来る《インビザラインiGO》をお勧めします。

 

 

 



・インビザライン   iGOシステム▶︎片顎   ¥550,000 (3Dスキャン診断、調整料込)

 

・リテーナー作成費用(MIXリテーナー)▶︎¥44,000 / 片顎1個

 

・リテーナー作成費用(ビベラリテーナー3枚SET)▶︎¥77,000 / 片顎につき

 
 


世界的にも新しいシステムのマウスピース矯正をご検討いただければと思います。

 


▷▷▷お電話公式LINEチャットインスタDMメール

マキデンタルオフィス銀座では一般診療に加えて、審美性を意識した治療も行います。
銀座で審美歯科治療を検討されている方はマキデンタルオフィス銀座にお越しください。

銀座で自然な仕上がりのセラミック治療なら当院へ。精密で丁寧な審美治療を提供します。

当院は『芝浦・海岸・品川・大井町・築地・勝どき・月島・晴海・豊洲・東雲・有明・台場

などの湾岸エリアからもアクセスが良い立地となります。

Q. 銀座でおすすめのセラミック治療クリニックは?
A. マキデンタルオフィス銀座では、最新のセラミック素材と技術を用いた審美治療を提供しており、自然で美しい仕上がりが特徴です。


________________________________________________________
MAKI DENTAL OFFICE GINZA

TEL:03-6264-4976
〒104-0061 東京都中央区銀座2-4-8 GINZA YUKI BLDG 3F

【休診日:水・日・祝】

【診療時間:平日9:30〜18:30 土曜日9:30〜18:00】

________________________________________________________

 
 ご質問、ご相談はお気軽にお問い合わせください。

 

最新記事
S__13787160

監修者

院長   今村 真樹(いまむら まき)

私は大学病院で歯科口腔外科、口腔内科治療を主に学び、歯だけでなく全身を診ることの出来る歯科医を目指し研鑽してまいりました。

当時、第一印象を決めるのは口元が大事だと思ったことから、審美的な分野にも関心を持ち、口腔外科の医局員時代から審美歯科も並行して学びました。
更には、歯医者が痛くて怖いと苦手に感じている方々に対しても外科治療や審美治療を安心して受けていただきたいとの思いから、当オフィスの静脈内鎮静法「無痛リラクゼーション治療」の勉強を行ってまいりました。

皆様には心から安心して快適に歯科治療をお受けしていただけるよう益々技術を自己研鑽して参ります。