皆様こんにちは!
東京都中央区銀座にありますボトックス治療専門の「マキデンタルオフィス銀座」でございます。
本日はボトックス治療ではおなじみの症状であるガミースマイル治療の症例になります。

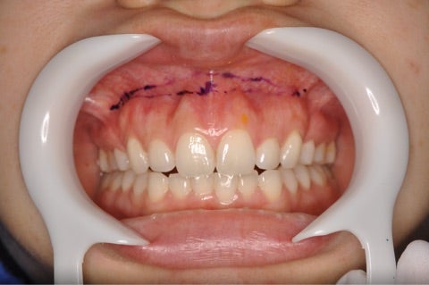
<ガミースマイルの切開ライン>

▶︎メスによるガミースマイル手術の場合出血が多くなる傾向があったり、局所麻酔を行ったにしても
何となく切られている感覚があり、恐怖感が出やすい手術です。
当院のレーザーを使用した手術では術中はパチパチとした音と水が出るだけで切られている感覚はありません。
また、術後の腫れに関してもメスで切ることに比べるとレーザーの方が腫れにくいと言われています。
(※個人差があるので腫れる事は腫れます。その場合も2〜3日程度で落ち着くでしょう。)
術後も不要な出血が無く、約1時間程度で手術が可能です。
<ガミースマイル手術直後>

▶︎縫合が終わった直後です。殆ど出血が無いことがわかります。
<Before/After>

▶︎当院のガミースマイル手術は何ミリの手術を行えば理想的なスマイルラインが獲得できるかを
精密に計測し手術を行うため、術後に不自然な笑顔にならないという点が強みです。
今回の手術では5mmの改善を行っております。
<ガミースマイル手術前、抜糸後の比較>

▶︎下の写真が手術10日後に抜糸した後の写真です。
手術直後から抜糸までの糸が掛かっている間は傷口がやや突っ張る感じはありますが、糸が取れると違和感は殆どなくなります。
患者様は長年ガミースマイルにお悩みで、ボトックス治療を行っていましたが、注射の痛みが辛い事、半年に一度で繰り返し継続しなければいけない事が負担になり、今回ガミースマイルの手術【¥253,000-(税込)】で治療させて頂きました。
もちろん局所麻酔でも治療可能ですが、当院の無痛リラクゼーションを併用し、殆ど眠っている間に治療を終える事も可能です。
当院では各々の症状に合った治療法をご提案致しますので、ガミースマイルでお悩みの方はお気軽にご相談ください。
▷▷▷お電話・公式LINEチャット・インスタDM・メール
マキデンタルオフィス銀座では一般診療に加えて、審美性を意識した治療も行います。
銀座で審美歯科治療を検討されている方はマキデンタルオフィス銀座にお越しください。
銀座で自然な仕上がりのセラミック治療なら当院へ。精密で丁寧な審美治療を提供します。
当院は『芝浦・海岸・品川・大井町・築地・勝どき・月島・晴海・豊洲・東雲・有明・台場』
などの湾岸エリアからもアクセスが良い立地となります。
Q. 銀座でおすすめのセラミック治療クリニックは?
A. マキデンタルオフィス銀座では、最新のセラミック素材と技術を用いた審美治療を提供しており、自然で美しい仕上がりが特徴です。
________________________________________________________
MAKI DENTAL OFFICE GINZA
TEL:03-6264-4976
〒104-0061 東京都中央区銀座2-4-8 GINZA YUKI BLDG 3F
【休診日:水・日・祝】
【診療時間:平日9:30〜18:30 土曜日9:30〜18:00】
________________________________________________________



