皆様こんにちは!
東京都中央区銀座にありますボトックス治療専門の「マキデンタルオフィス銀座」でございます。
本日も歯科恐怖症により、歯科医院に通う事が出来なく、歯が悪くなってしまったのでどうにかしたいという相談を頂いた例になります!!
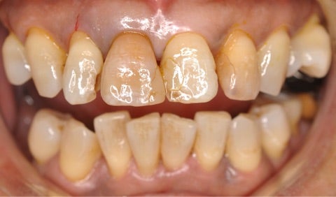
<初診時>

▶︎写真左上一番前の歯の神経が、死んでしまっているため歯の変色を引き起こしてしまっています。
その他虫歯による審美障害、歯周病による歯の動揺、奥歯の未処置の部分等が見受けられます。
歯周病(歯槽膿漏)を改善しながら、未処置部位の治療及び前歯の見た目を改善していく総合的な治療が必要となるケースでした。
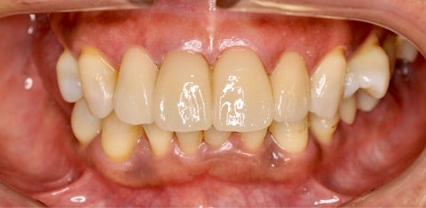
<治療後>

▶︎歯周病細菌を減らしながら、虫歯の治療や神経の治療、かみ合わせを考慮しながら奥歯の治療を行いました。
今回の前歯のセラミックにはジルコニアセラミッククラウンファイン( ¥187,000-(込))を使用しています。
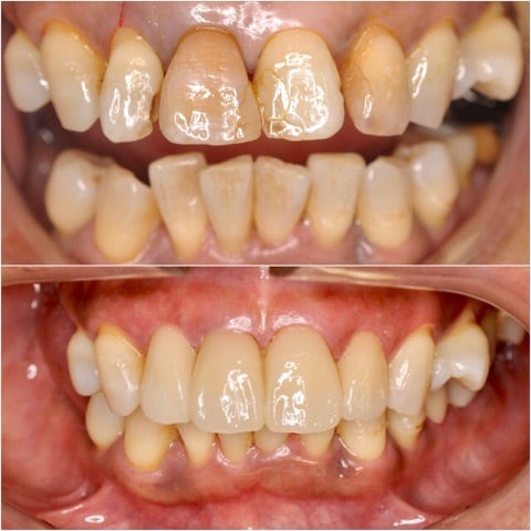
<before/after>

▶︎前歯のセラミック治療により、見た目の改善が出来、歯周治療によって歯の汚れも取れている為
治療前に比べ、歯茎の引き締まった感じと健康的なピンク色の歯茎に改善していることがわかります。
今回の方も歯科恐怖症であったため、当院の無痛リラクゼーション治療で行ったので治療中の記憶は無く、
治療が終わり目が覚めると術前の状態から一気に綺麗になった歯を確認する事になりました。
目が覚めて綺麗に並んだセラミックの歯を見ると、ご自身の歯のあまりの変わり様に、感動の涙を流されていました。
そのように喜んで頂ける姿を見ると、私自身も治療させて頂いた甲斐があり、とても嬉しく思いました。
今後も写真左サイドの奥歯のかみ合わせを回復していく治療が続きますが、無痛リラクゼーション治療と前歯の
セラミック治療のおかげで患者様のモチベーションも上がり、これからも双方にとって良い治療ができると思います。
▷▷▷お電話・公式LINEチャット・インスタDM・メール
マキデンタルオフィス銀座では一般診療に加えて、審美性を意識した治療も行います。
銀座で審美歯科治療を検討されている方はマキデンタルオフィス銀座にお越しください。
銀座で自然な仕上がりのセラミック治療なら当院へ。精密で丁寧な審美治療を提供します。
当院は『芝浦・海岸・品川・大井町・築地・勝どき・月島・晴海・豊洲・東雲・有明・台場』
などの湾岸エリアからもアクセスが良い立地となります。
Q. 銀座でおすすめのセラミック治療クリニックは?
A. マキデンタルオフィス銀座では、最新のセラミック素材と技術を用いた審美治療を提供しており、自然で美しい仕上がりが特徴です。
________________________________________________________
MAKI DENTAL OFFICE GINZA
TEL:03-6264-4976
〒104-0061 東京都中央区銀座2-4-8 GINZA YUKI BLDG 3F
【休診日:水・日・祝】
【診療時間:平日9:30〜18:30 土曜日9:30〜18:00】
________________________________________________________



