皆様こんにちは!
東京都中央区銀座にありますボトックス治療専門の「マキデンタルオフィス銀座」でございます。
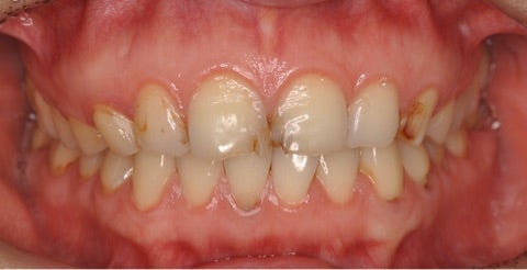
本日は前歯の古いセラミックを審美的に修復した症例の報告です。
◾️患者様は過去に入れた、セラミックの形態不良と差し歯にしたセラミック、歯茎の境目が黒く目立ってきている事が気になり治療の相談をされました。

▶︎歯肉の退縮と、セラミックの材質により審美的な障害を引き起こしています。
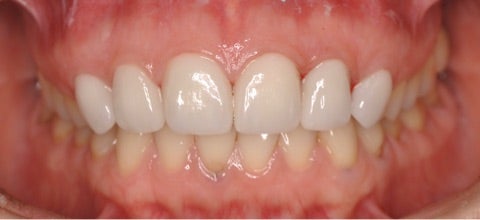
今回は作り物の様でなく自然かつ綺麗に歯を作成したいとの事から、技工士が立ち合い、患者様の細かい要望も伺い対応する事が出来るジルコニアセラミッククラウンプレミアム¥220,000-(込)/本での治療を(上の歯8本を)行いました。
<治療後>

▶︎装着直後ですが歯茎とのなじみも良く自然な仕上がりとなりました。
前歯の一部が欠損し、ブリッジとなっていますが、可能な限り目立たないように仕上げることが出来ました。
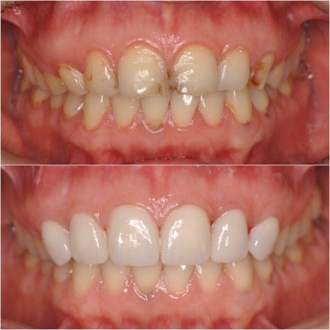
<before/after>

▷▷▷お電話・公式LINEチャット・インスタDM・メール
マキデンタルオフィス銀座では一般診療に加えて、審美性を意識した治療も行います。
銀座で審美歯科治療を検討されている方はマキデンタルオフィス銀座にお越しください。
銀座で自然な仕上がりのセラミック治療なら当院へ。精密で丁寧な審美治療を提供します。
当院は『芝浦・海岸・品川・大井町・築地・勝どき・月島・晴海・豊洲・東雲・有明・台場』
などの湾岸エリアからもアクセスが良い立地となります。
Q. 銀座でおすすめのセラミック治療クリニックは?
A. マキデンタルオフィス銀座では、最新のセラミック素材と技術を用いた審美治療を提供しており、自然で美しい仕上がりが特徴です。
________________________________________________________
MAKI DENTAL OFFICE GINZA
TEL:03-6264-4976
〒104-0061 東京都中央区銀座2-4-8 GINZA YUKI BLDG 3F
【休診日:水・日・祝】
【診療時間:平日9:30〜18:30 土曜日9:30〜18:00】
________________________________________________________



