皆様こんにちは!
東京都中央区銀座にありますボトックス治療専門の「マキデンタルオフィス銀座」でございます。
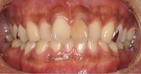
本日は、前歯の並びと色の審美障害、銀歯が目立つとの事で相談を受けました。

▶︎一番手前の2本の歯の並びが傾いてしまっています。
それに加え、写真右上の前歯は神経が死んでしまっていて、歯の変色を来しています。
また、写真右上の銀歯も以前の治療の際に材質の選択もさせてもらえずに自動的に銀歯にされてしまい、見た目が非常に気になるとのご相談を頂きました。
更に、歯の治療での痛みにトラウマになってしまった様子で、初診カウンセリング時には若干の恐怖心もある様子でした。
今回は、先ずは軽度の虫歯治療から始め、治療に慣れて頂いたのちに、審美治療を行うという流れをとりました。
<治療後>

今回は…
ジルコニアセラミックスタンダード▶︎¥165,000-(税別)/本
e-maxセラミックインレー▶︎¥66,000-(税別)/本
を選んで頂いての治療となりました。
<before/after>

◾️治療の痛みも無いとの事で順調に治療を進める事ができました。
長年歯にコンプレックスがあったそうで治療後はとても喜んで頂けました。
今の時期から審美治療(歯を綺麗にする治療)を開始すればほぼ年内には終了できます。
例年年末の時期は、予約が混み合いますので、この時期にご予約を頂けると治療をスムーズに進める事が可能です。
ご予約、ご質問はお気軽にお問い合わせください。
▷▷▷お電話・公式LINEチャット・インスタDM・メール
マキデンタルオフィス銀座では一般診療に加えて、審美性を意識した治療も行います。
銀座で審美歯科治療を検討されている方はマキデンタルオフィス銀座にお越しください。
銀座で自然な仕上がりのセラミック治療なら当院へ。精密で丁寧な審美治療を提供します。
当院は『芝浦・海岸・品川・大井町・築地・勝どき・月島・晴海・豊洲・東雲・有明・台場』
などの湾岸エリアからもアクセスが良い立地となります。
Q. 銀座でおすすめのセラミック治療クリニックは?
A. マキデンタルオフィス銀座では、最新のセラミック素材と技術を用いた審美治療を提供しており、自然で美しい仕上がりが特徴です。
________________________________________________________
MAKI DENTAL OFFICE GINZA
TEL:03-6264-4976
〒104-0061 東京都中央区銀座2-4-8 GINZA YUKI BLDG 3F
【休診日:水・日・祝】
【診療時間:平日9:30〜18:30 土曜日9:30〜18:00】
________________________________________________________



