皆様こんにちは!
東京都中央区銀座にありますボトックス治療専門の「マキデンタルオフィス銀座」でございます。
先日大学時代の同窓会があり、仙台まで出張しておりました。
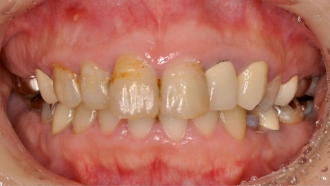
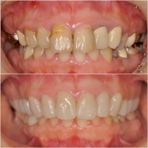
さて、本日は、噛み合わせが悪く、前歯が段々と前に出てきてしまっている事と、全体的に治療が古く、未治療の部分も多くどこから治して良いのか分からない。

▶︎写真ではわかりづらいのですが、前歯の前突に加え、虫歯や不良補綴物による見た目の審美障害を引き起こしています。
また、奥歯の噛み合わせが低く、所謂ディープバイトの状態で、前歯の前突(フレアーアウト)を引き起こしています。
写真左上の歯茎には根尖病巣による膿の出口も確認できます。
今回のケースは審美治療だけでなく、ディープバイトの改善や、保存不可能の部位にインプラント治療も行ったフルマウスの治療計画が必要となりました。
<治療後>

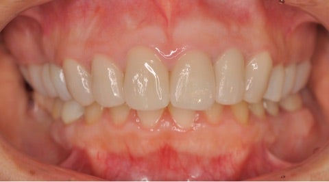
▶︎患者様のご希望により、全体的な見た目の改善と審美性の追求を行いました。
上顎の歯には全てジルコニアセラミッククラウンプレミアム¥220,000-/本
を使用し、《写真左下にはインプラントを2本埋入》しています。
ディープバイトの改善のため、スプリントを使用し、1mmのバイトアップも図っています。

▶︎奥歯のクラウンの高さが上がり、顎関節にも影響がないことを確認し、
綺麗で正確な審美治療をお考えの方は、マキデンタルオフィス銀座までお気軽にご相談ください。
▷▷▷お電話・公式LINEチャット・インスタDM・メール
マキデンタルオフィス銀座では一般診療に加えて、審美性を意識した治療も行います。
銀座で審美歯科治療を検討されている方はマキデンタルオフィス銀座にお越しください。
銀座で自然な仕上がりのセラミック治療なら当院へ。精密で丁寧な審美治療を提供します。
当院は『芝浦・海岸・品川・大井町・築地・勝どき・月島・晴海・豊洲・東雲・有明・台場』
などの湾岸エリアからもアクセスが良い立地となります。
Q. 銀座でおすすめのセラミック治療クリニックは?
A. マキデンタルオフィス銀座では、最新のセラミック素材と技術を用いた審美治療を提供しており、自然で美しい仕上がりが特徴です。
________________________________________________________
MAKI DENTAL OFFICE GINZA
TEL:03-6264-4976
〒104-0061 東京都中央区銀座2-4-8 GINZA YUKI BLDG 3F
【休診日:水・日・祝】
【診療時間:平日9:30〜18:30 土曜日9:30〜18:00】
________________________________________________________



