皆様こんにちは!
東京都中央区銀座にありますボトックス治療専門の「マキデンタルオフィス銀座」でございます。
院長の今村真樹です。
さて、本日は以前前歯の審美セラミック治療をしていただき、ブログにも掲載させていただいたケースです。

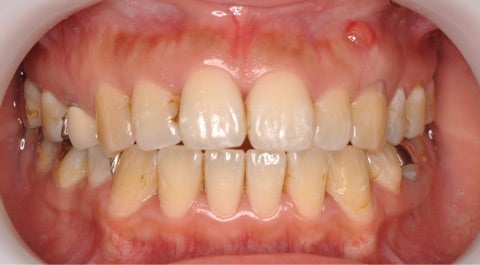
▶︎全体的に上の前歯の歯列不正と虫歯、不良補綴物(銀歯やクラウン)などが見受けられます。
また、写真右上の歯茎には口内炎の様に見える根尖病巣の存在もありました。
ひとまず写真右上の根尖病巣の治療を行い、前歯を綺麗にすることを目的に治療を開始しました。
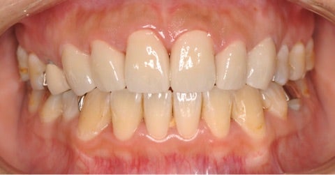
⬇︎⬇︎⬇︎治療開始から約3か月後の状態です⬇︎⬇︎⬇︎
<初回治療終了時>

▶︎上の前歯の審美的回復が獲得できました。
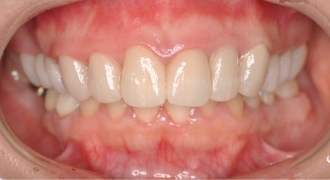
その後患者様から前歯がキレイになった事により、せっかくなので奥歯も綺麗にしたいとのご希望を受け
奥歯のセラミック治療も追加で、行う事となりました。
<最終治療終了時>

▶︎銀歯や、不良なクラウン、虫歯治療、奥歯の感染根管治療、親知らずの抜歯等を行い
最終的に全顎的な審美の回復が認められました。
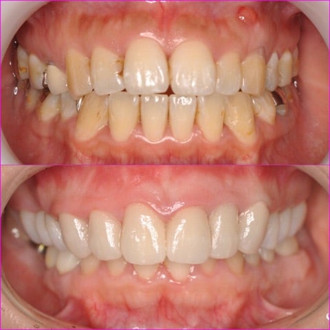
<before/after>

▶︎奥歯の神経の治療や抜歯があったことや、患者様のご都合もあったため最終的には
1年ほどの期間がかかりましたが、悪いところは全て治療を施してあります。
<外観>


▷▷▷お電話・公式LINEチャット・インスタDM・メール
マキデンタルオフィス銀座では一般診療に加えて、審美性を意識した治療も行います。
銀座で審美歯科治療を検討されている方はマキデンタルオフィス銀座にお越しください。
銀座で自然な仕上がりのセラミック治療なら当院へ。精密で丁寧な審美治療を提供します。
当院は『芝浦・海岸・品川・大井町・築地・勝どき・月島・晴海・豊洲・東雲・有明・台場』
などの湾岸エリアからもアクセスが良い立地となります。
Q. 銀座でおすすめのセラミック治療クリニックは?
A. マキデンタルオフィス銀座では、最新のセラミック素材と技術を用いた審美治療を提供しており、自然で美しい仕上がりが特徴です。
________________________________________________________
MAKI DENTAL OFFICE GINZA
TEL:03-6264-4976
〒104-0061 東京都中央区銀座2-4-8 GINZA YUKI BLDG 3F
【休診日:水・日・祝】
【診療時間:平日9:30〜18:30 土曜日9:30〜18:00】
________________________________________________________



