皆様こんにちは!
東京都中央区銀座にありますボトックス治療専門の「マキデンタルオフィス銀座」でございます。
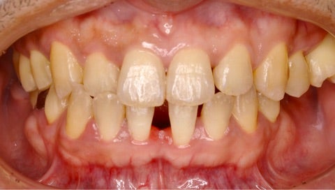
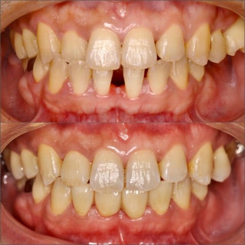
さて、本日は嗚咽反射(嘔吐反射)で今まで歯科治療が困難であった方の症例を提示します。

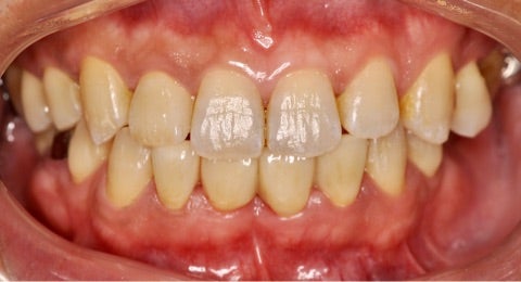
<治療後>

▶︎治療は殆ど眠っている状態で行ったため、嗚咽反射は出ず、快適に治療を受けて頂けた様子です。
下の前歯の隙間を埋めるような形態でセラミックの歯を作成し審美的な回復が出来ています。
今回は写真でいう左下の前から2番目の歯のかみ合わせが上下で反対になってしまっている部分も気になるため正常なかみ合わせに修復しています。
▶︎ジルコニアセラミッククラウンファイン ¥187,000-(税込)/本
<Before/After>

▷▷▷お電話・公式LINEチャット・インスタDM・メール
マキデンタルオフィス銀座では一般診療に加えて、審美性を意識した治療も行います。
銀座で審美歯科治療を検討されている方はマキデンタルオフィス銀座にお越しください。
銀座で自然な仕上がりのセラミック治療なら当院へ。精密で丁寧な審美治療を提供します。
当院は『芝浦・海岸・品川・大井町・築地・勝どき・月島・晴海・豊洲・東雲・有明・台場』
などの湾岸エリアからもアクセスが良い立地となります。
Q. 銀座でおすすめのセラミック治療クリニックは?
A. マキデンタルオフィス銀座では、最新のセラミック素材と技術を用いた審美治療を提供しており、自然で美しい仕上がりが特徴です。
________________________________________________________
MAKI DENTAL OFFICE GINZA
TEL:03-6264-4976
〒104-0061 東京都中央区銀座2-4-8 GINZA YUKI BLDG 3F
【休診日:水・日・祝】
【診療時間:平日9:30〜18:30 土曜日9:30〜18:00】
________________________________________________________



