皆様こんにちは!
東京都中央区銀座にありますボトックス治療専門の「マキデンタルオフィス銀座」でございます。
さて、本日は接客業で人と接する事が多く、歯を白く綺麗にしたいとの相談を受け治療を行った例のお話です。

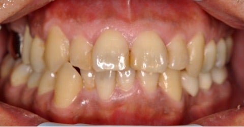
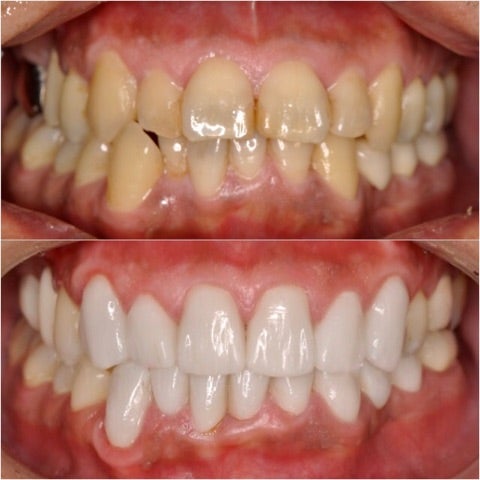
▶︎全体的に歯の色味が黄色味を帯びていて、歯列不正も伴っている状態でした。
今回は、折角綺麗にするので周りから注目されるような芸能人のような白さにしたい。
でも、よくある低価格で早くできる 作り物感が出てしまっているようなセラミックにはしたくないとの事から
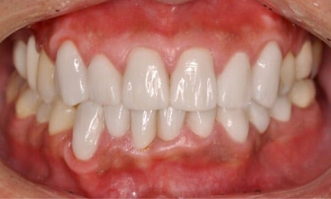
ジルコニアセラミッククラウンプレミアム(¥220,000- /本) での治療を開始しました。
<治療後>

▶︎審美治療も本数が多かったため、また、若干歯科治療も苦手という事もあり、治療は全て無痛リラクゼーション治療で施術を行いました。
(まとまった本数の審美治療は一度の治療時間で2時間以上かかるケースもあり、 過去の審美治療で起きている状態での治療は結構大変だったという話も良く聞きます。)
<Before/After>

▶︎セラミックの形態も技工士と相談しながら作成し、白さを出しながらも透明感を与え、ややシャープな形態の 天然の歯の様な形態に仕上げています。
また、治療を行っていない天然歯の部位に関してはホワイトニングを併用し、全体的なトーンが 明るくなっている事がわかります。『ジルコニアセラミッククラウンプレミアム』の良いところは熟練の技工士が本人に合った形態を考慮しながら患者様と相談しながら歯を作成していく事が出来るところです。
格安セラミックなどはいわゆる既製品のような歯の形態に仕上がる事が多く、 性別、顔の形やなどのバランスは考慮せず皆同じような歯が仕上がってくることも 少なくありません。
<口元の状態>


▷▷▷お電話・公式LINEチャット・インスタDM・メール
マキデンタルオフィス銀座では一般診療に加えて、審美性を意識した治療も行います。
銀座で審美歯科治療を検討されている方はマキデンタルオフィス銀座にお越しください。
銀座で自然な仕上がりのセラミック治療なら当院へ。精密で丁寧な審美治療を提供します。
当院は『芝浦・海岸・品川・大井町・築地・勝どき・月島・晴海・豊洲・東雲・有明・台場』
などの湾岸エリアからもアクセスが良い立地となります。
Q. 銀座でおすすめのセラミック治療クリニックは?
A. マキデンタルオフィス銀座では、最新のセラミック素材と技術を用いた審美治療を提供しており、自然で美しい仕上がりが特徴です。
________________________________________________________
MAKI DENTAL OFFICE GINZA
TEL:03-6264-4976
〒104-0061 東京都中央区銀座2-4-8 GINZA YUKI BLDG 3F
【休診日:水・日・祝】
【診療時間:平日9:30〜18:30 土曜日9:30〜18:00】
________________________________________________________



