皆様こんにちは!
東京都中央区銀座にありますボトックス治療専門の「マキデンタルオフィス銀座」でございます。
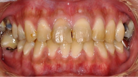
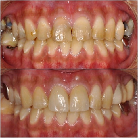
本日は歯科恐怖症の為、奥歯の虫歯を放置してしまい、だんだんと前歯も欠けて日に日に見栄えが悪くなって来た…

▶︎患者様は「最近どんどん歯がボロボロになってきている」と仰っていました。
一見歯の状態はそこまでボロボロには見えませんが、実は奥歯の状態が特に悪く、痛みもあり食事はほぼ前歯を使用している状態です。
その結果前歯へのダメージが蓄積し、着色や欠けが目立つようになってきてしまっています。
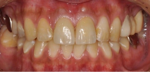
診査診断後、患者様と十分にカウンセリングを行い、無痛治療での全顎的治療を開始しました。
奥歯は重度の虫歯で抜歯をしなければいけない部位があり、目立たない部位には健康保険を使用し、銀歯での処置をしています。
ダメージの大きい前歯(一番前の2本)に対しては、周りの歯の色に特徴があることからジルコニアセラミッククラウン・プレミアム ¥220,000-/本
を使用し、歯科技工士立会いの下、周りの歯と調和するように治療、作成を行いました。


▷▷▷お電話・公式LINEチャット・インスタDM・メール
マキデンタルオフィス銀座では一般診療に加えて、審美性を意識した治療も行います。
銀座で審美歯科治療を検討されている方はマキデンタルオフィス銀座にお越しください。
銀座で自然な仕上がりのセラミック治療なら当院へ。精密で丁寧な審美治療を提供します。
当院は『芝浦・海岸・品川・大井町・築地・勝どき・月島・晴海・豊洲・東雲・有明・台場』
などの湾岸エリアからもアクセスが良い立地となります。
Q. 銀座でおすすめのセラミック治療クリニックは?
A. マキデンタルオフィス銀座では、最新のセラミック素材と技術を用いた審美治療を提供しており、自然で美しい仕上がりが特徴です。
________________________________________________________
MAKI DENTAL OFFICE GINZA
TEL:03-6264-4976
〒104-0061 東京都中央区銀座2-4-8 GINZA YUKI BLDG 3F
【休診日:水・日・祝】
【診療時間:平日9:30〜18:30 土曜日9:30〜18:00】
________________________________________________________



