皆様こんにちは!
東京都中央区銀座にありますボトックス治療専門の「マキデンタルオフィス銀座」でございます。
『昔通っていた歯科で埋入したインプラントの周りに違和感があり、最近になってグラグラしてきている』


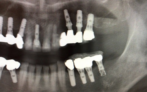
▶︎赤いラインで引いた部分までインプラントの周りの骨が吸収していることがわかります。
3次元的に精査する必要もある状態であったためCT撮影も行いました。
<CT画像>


▶︎CTからもインプラントを取り囲む顎骨の吸収が確認できました。
重度インプラント周囲炎の診断の下、インプラント除去手術を行う事となりました。
◾️「インプラント周囲炎」とは…
歯の周りに炎症を引き起こすことを歯周炎(歯槽膿漏)といいます。
今回の様にインプラントの周りの炎症はインプラント周囲炎という病名が付きます。
要するにインプラント自体の歯周病が、インプラント周囲炎です。
インプラント周囲炎と歯周炎の原因や成り立ちはほぼ共通で、基本的に歯周病の治療が必要となってきます。
インプラントは天然の歯よりも細菌感染に弱く、また噛み合わせのバランス調整を定期的に診ないと周囲顎骨にダメージが加わってしまいます。
またインプラント周囲炎は進行しても、初期~中程度までは自分で気がつく事が難しいと言われています。
<インプラントの周囲の骨が溶けてしまっています>

▶︎ご自身の歯とインプラントの大きな違いは、天然の歯と顎の骨の間には歯根膜というクッションの役割をする組織があり、直接顎骨に結合しているわけではありません。
しかし、インプラントには「歯根膜」という薄い靭帯の膜に相当する部分がありません。
よってインプラントは顎の骨と直接結合しています。
歯根膜には血流があり、酸素や栄養・免疫が絶えず供給されていますので、歯周病原菌の攻撃を防御する生体反応があります。
しかしインプラントにはそれらがすべて欠如しています。これがインプラントの方が感染しやすいという原因と言われています。
当院のインプラント手術時の骨造成手術や、嚢胞摘出、骨隆起除去。
また、今回の様なインプラント除去手術の様な骨を削らないとならない様な手術では、超音波で骨切削を行い体に安全な方法で手術を行います。
<ソニックサージオン>

▶︎従来のドリルのような回転器具で骨を削ると、場合によっては、粘膜や神経、血管などの柔らかい組織を傷つけてしまうリスクがありますが、当院で使用しているソニックサージオンは超音波の振動で骨を切削していくので解剖学的に重要な軟組織を傷つける心配が無く安全に手術を行う事が可能です。
今回は骨吸収が上顎洞(副鼻腔)付近にまで及んでいたため、特にこの機械の恩恵を受けることが出来ました。
<上部構造の除去>

<インプラントの除去>

▶︎インプラントの周りに吸収してしまった骨様組織が付着しているのがわかります。
<インプラント周囲の吸収された骨>

▷▷▷お電話・公式LINEチャット・インスタDM・メール
マキデンタルオフィス銀座では一般診療に加えて、審美性を意識した治療も行います。
銀座で審美歯科治療を検討されている方はマキデンタルオフィス銀座にお越しください。
銀座で自然な仕上がりのセラミック治療なら当院へ。精密で丁寧な審美治療を提供します。
当院は『芝浦・海岸・品川・大井町・築地・勝どき・月島・晴海・豊洲・東雲・有明・台場』
などの湾岸エリアからもアクセスが良い立地となります。
Q. 銀座でおすすめのセラミック治療クリニックは?
A. マキデンタルオフィス銀座では、最新のセラミック素材と技術を用いた審美治療を提供しており、自然で美しい仕上がりが特徴です。
________________________________________________________
MAKI DENTAL OFFICE GINZA
TEL:03-6264-4976
〒104-0061 東京都中央区銀座2-4-8 GINZA YUKI BLDG 3F
【休診日:水・日・祝】
【診療時間:平日9:30〜18:30 土曜日9:30〜18:00】
________________________________________________________



