logo
icon-facebook
Facebook
icon-instagram
Instagram
LINE
WEB予約
LINE予約

銀座の歯医者・歯科 マキデンタルオフィス銀座

9:30~13:00/14:00~18:30   休診日 水・日・祝日
ブログ
【歯科恐怖症・インプラント・セラミック治療】歯の中に膿が溜まって抜歯してインプラントと言われたのですが…《東京・銀座の無痛治療・審美歯科・歯根端切除術・インプラント》<スタンダード>

皆様こんにちは!

東京都中央区銀座にありますボトックス治療専門の「マキデンタルオフィス銀座」でございます。

 

 
 
院長の今村真樹です。
 
 

本日も審美セラミックの治療のお話ですが、少し経過が特殊な症例です。

 
患者様は以前よりかかりつけ医にてインプラント治療を行っていました。数年間通院されていましたが、先生の言われるがままに進めていたら、奥歯が全部インプラントになってしまったと仰っていました。
 
 
 
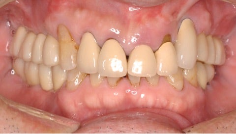
初診時
 
▶︎実際両側の奥歯には計10本以上のインプラントが埋入されています。
 
 
今回、写真でいう右上の一番前の歯と二番目の歯に膿が溜まっているとの説明を受け、その二本も抜歯してインプラントを追加すると言われ、「このままでは自分の歯は全部インプラントにされてしまうのではないか、、」
と心配になり、私のもとに相談にいらっしゃいました。
 
初診カウンセリングでは、しっかりとお話を伺った後に、レントゲン撮影、口腔内診査を行い、CT撮影をして、歯と顎骨の状態を確認しました。
 
 

CT画像

▶︎確かに二歯を含む根尖病巣が確認でき、歯の状態は良くない事がわかります。
 
ただ、周囲の顎の骨がまだ残存していることや、歯の動揺が軽度であることなどを考慮し、《インプラントにした場合のメリット・デメリット》、《歯根端切除術を行った場合のメリット・デメリット》をしっかりと説明し、歯根端切除術を行い、歯を保存する治療を選択されました。
 
 
 

歯根端切除術

▶︎ちなみに通常の治療法では感染根幹治療といい歯の頭に穴を開け、根の先端にある膿をお薬で治して行くという方法をとります。
今回選択した歯根端切除術とは上の図のように膿の大きさが大きくて通常の根の治療では治る見込みが少ない状態に対して、外科的に膿の袋を除去する方法です。
(※当院では歯科恐怖症の方も来院されるため手術中の写真は割愛させて頂きます。)
 
 

無痛治療での手術も無事に終わり、歯の動揺も無くなり経過も良好でした。

 
 
🦷上前歯4本ジルコニアセラミッククラウン スタンダード ¥165,000-(税別)/ 本🦷

 

 で審美治療を行いました。
 
 

 

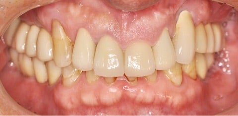
after

▶︎手術の傷口もほとんどわからない程度まで回復しています。(写真右上前歯部分)

 

 

 
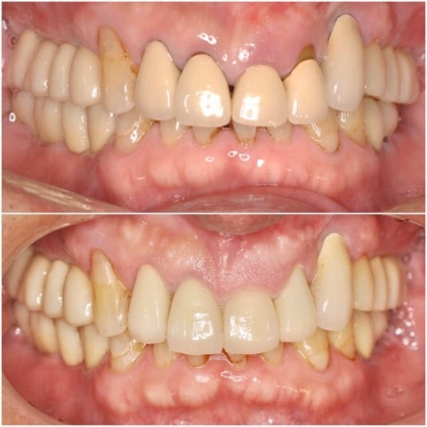
before/after

 

 

 

歯の動揺がなくなったことはもちろん、歯と歯茎の黒い境目や、形態不良による審美障害も改善されています。ご本人には自分の歯が残せたこと、見た目も綺麗になったことでとても喜んで頂けました。
 
今回は手術によって歯を残すことが出来ましたが、歯の状態によってはやはり抜歯になることもあります。
 
 
 
当院では適切に診断をし、患者様にはしっかりと治療の方法を提案しますので、安心してご来院ください。
 
 
 
 


▷▷▷お電話公式LINEチャットインスタDMメール

マキデンタルオフィス銀座では一般診療に加えて、審美性を意識した治療も行います。
銀座で審美歯科治療を検討されている方はマキデンタルオフィス銀座にお越しください。

銀座で自然な仕上がりのセラミック治療なら当院へ。精密で丁寧な審美治療を提供します。

当院は『芝浦・海岸・品川・大井町・築地・勝どき・月島・晴海・豊洲・東雲・有明・台場

などの湾岸エリアからもアクセスが良い立地となります。

Q. 銀座でおすすめのセラミック治療クリニックは?
A. マキデンタルオフィス銀座では、最新のセラミック素材と技術を用いた審美治療を提供しており、自然で美しい仕上がりが特徴です。


________________________________________________________
MAKI DENTAL OFFICE GINZA

TEL:03-6264-4976
〒104-0061 東京都中央区銀座2-4-8 GINZA YUKI BLDG 3F

【休診日:水・日・祝】

【診療時間:平日9:30〜18:30 土曜日9:30〜18:00】

________________________________________________________

 
 
 
 
 
 
 
 
 
 
 
 
 
 
 
 
 
 
 
 
 
 
 
 
 
 
 
 
 
 
 
 
 
 
 
 
 
 
 
 
最新記事
S__13787160

監修者

院長   今村 真樹(いまむら まき)

私は大学病院で歯科口腔外科、口腔内科治療を主に学び、歯だけでなく全身を診ることの出来る歯科医を目指し研鑽してまいりました。

当時、第一印象を決めるのは口元が大事だと思ったことから、審美的な分野にも関心を持ち、口腔外科の医局員時代から審美歯科も並行して学びました。
更には、歯医者が痛くて怖いと苦手に感じている方々に対しても外科治療や審美治療を安心して受けていただきたいとの思いから、当オフィスの静脈内鎮静法「無痛リラクゼーション治療」の勉強を行ってまいりました。

皆様には心から安心して快適に歯科治療をお受けしていただけるよう益々技術を自己研鑽して参ります。