皆様こんにちは!
東京都中央区銀座にありますボトックス治療専門の「マキデンタルオフィス銀座」でございます。
本日は遠方からお越しいただき「芸能人の様に綺麗な歯にしたい✨」とのご相談を受けた症例です。

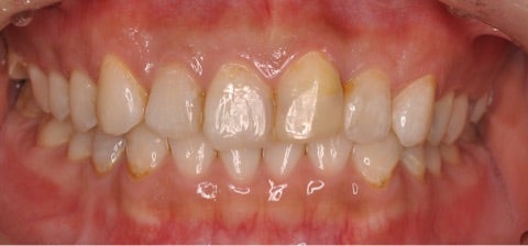
▶︎前歯4本に古い治療の痕があり、歯並びの不整も併せて審美的な不良を引き起こしています。
歯科治療が苦手であり、出来るだけ短期間で治療をしたいとのご相談も受け、今回は無痛リラクゼーション治療で短期集中治療で行う事としました。
とはいえ、自分が納得できる歯を作りたいとの希望があったため技工士と相談しながら作りたいとのご要望でしたので
《🦷上前歯4本:ジルコニアセラミッククラウンプレミアム ¥220,000- / 本 🦷》
を使用することになりました。
しっかりと理想の歯形態を作るため試着を行い、色と形について相談しながら進めていきました。
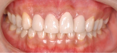
<治療後>

▶︎ややシャープな形態がお好みでしたがその中でも少しだけ女性的な丸みを持たせた形態に仕上がっています。
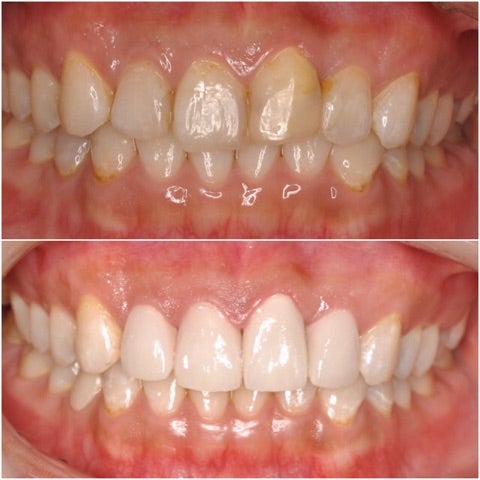
<before/after>

▶︎装着当日ですが、歯茎とのなじみも良くとても綺麗な仕上がりとなっています。
今回は歯を綺麗にするにしたがって口元全体を綺麗にしたいとの意識も高まり口唇に適量のヒアルロン酸注入も行っています。
⬇︎⬇︎⬇︎
<ヒアルロン酸注入 比較>

《💉デザイン料+施術料ヒアルロン酸1cc:¥60,500-〜💉》
適量を注入することにより自然なボリュームが獲得できています。

▶︎元々の歯にコンプレックスがあり、初診時は笑うことが少なかったのですが、歯と唇を合わせ、口元全体を綺麗にしたことにより、素敵な笑顔を作ることが出来るようになりました。
<セラミック治療+口唇ヒアルロン酸注入後>

▶︎スマイルラインがキレイになり、素敵な笑顔になりました。

▷▷▷お電話・公式LINEチャット・インスタDM・メール
マキデンタルオフィス銀座では一般診療に加えて、審美性を意識した治療も行います。
銀座で審美歯科治療を検討されている方はマキデンタルオフィス銀座にお越しください。
銀座で自然な仕上がりのセラミック治療なら当院へ。精密で丁寧な審美治療を提供します。
当院は『芝浦・海岸・品川・大井町・築地・勝どき・月島・晴海・豊洲・東雲・有明・台場』
などの湾岸エリアからもアクセスが良い立地となります。
Q. 銀座でおすすめのセラミック治療クリニックは?
A. マキデンタルオフィス銀座では、最新のセラミック素材と技術を用いた審美治療を提供しており、自然で美しい仕上がりが特徴です。
________________________________________________________
MAKI DENTAL OFFICE GINZA
TEL:03-6264-4976
〒104-0061 東京都中央区銀座2-4-8 GINZA YUKI BLDG 3F
【休診日:水・日・祝】
【診療時間:平日9:30〜18:30 土曜日9:30〜18:00】
________________________________________________________



