皆様こんにちは!
東京都中央区銀座にありますボトックス治療専門の「マキデンタルオフィス銀座」でございます。
今回の症例のご紹介です。

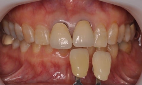
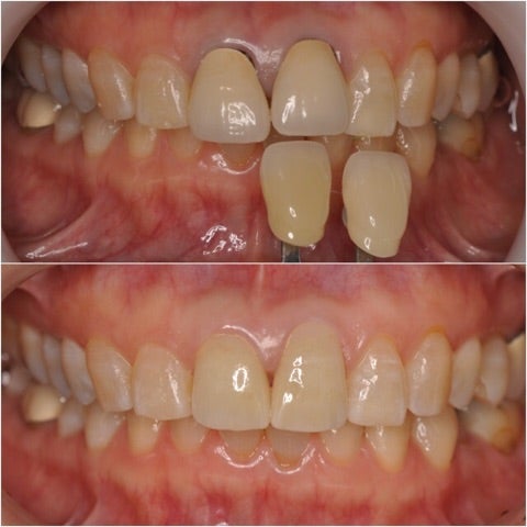
▶︎周りの歯に生まれつきの薄い縞模様があり、古いセラミックが明らかに浮いてしまっているのがわかります。 さらに片方の歯は前に出てしまい審美的不調を引き起こしています。
相談の結果、歯の内部構造も再現できるジルコニアセラミッククラウンプレミアムで治療する事になりました。
片方の歯が前に出てきてしまった原因を探り、かみ合わせを調整しながらセラミックの作成をしていきます。
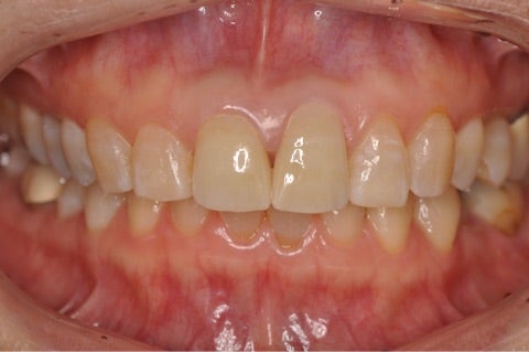
<治療後>

▶︎患者様の希望により、周りの歯より気持ち明るくしたいとの事でやや色調は気持ち明るく仕上げてあります。しかし歯の内部の構造も再現してあるので大きな違和感無くSETすることができました。
《🦷上前歯2本:ジルコニアセラミックプレミアム ¥220,000-/本🦷》
<before/after>

▷▷▷お電話・公式LINEチャット・インスタDM・メール
マキデンタルオフィス銀座では一般診療に加えて、審美性を意識した治療も行います。
銀座で審美歯科治療を検討されている方はマキデンタルオフィス銀座にお越しください。
銀座で自然な仕上がりのセラミック治療なら当院へ。精密で丁寧な審美治療を提供します。
当院は『芝浦・海岸・品川・大井町・築地・勝どき・月島・晴海・豊洲・東雲・有明・台場』
などの湾岸エリアからもアクセスが良い立地となります。
Q. 銀座でおすすめのセラミック治療クリニックは?
A. マキデンタルオフィス銀座では、最新のセラミック素材と技術を用いた審美治療を提供しており、自然で美しい仕上がりが特徴です。
________________________________________________________
MAKI DENTAL OFFICE GINZA
TEL:03-6264-4976
〒104-0061 東京都中央区銀座2-4-8 GINZA YUKI BLDG 3F
【休診日:水・日・祝】
【診療時間:平日9:30〜18:30 土曜日9:30〜18:00】
________________________________________________________



