皆様こんにちは!
東京都中央区銀座にありますボトックス治療専門の「マキデンタルオフィス銀座」でございます。
院長の今村真樹です。早いもので本日で年内の診療は終了となります。
本日は年内最後の審美症例を供覧します。
患者様は前歯2本の色の不調和と写真でいう左上の2番目の歯の歯並びが気になるとの事で来院されました。
先ずはカウンセリングを行い、歯の形態を相談しながら治療を進めます。
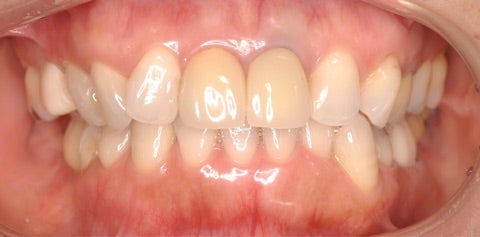
<初診時>

▶︎明らかに前歯2本の透明感が無く、黄色みが掛かっています。歯茎とのなじみも悪いことがわかります。
患者様は自然な透明感のある歯を求められていたためジルコニアセラミック プレミアムを選択されました。
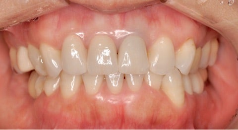
<after>

▶︎約1か月の治療で自然な歯並びと審美的な歯に仕上がりました。
写真は装着した日に撮影したものですが歯茎とのなじみも良く、天然の歯に近づけることが出来ました。
<before/after>

▶︎綺麗な歯に仕上がりより白く綺麗な歯にしたいとの事でホワイトニングも希望されていたので全体的にオフィスホワイトニングを行い歯の色味も白くなっています。
年内に綺麗な歯になったと患者様は大変喜ばれていました。喜びの言葉を頂けて私も嬉しく思います。
本年度も多くの患者様にマキデンタルオフィス銀座にご来院頂き誠にありがとうございます。
新年も益々多くの患者様にご満足いただけるように頑張って参ります。✨🦷
来年度の診療は、1月5日木曜日からとなりますので、来年からもよろしくお願い致します。🎍✨
▷▷▷お電話・公式LINEチャット・インスタDM・メール
マキデンタルオフィス銀座では一般診療に加えて、審美性を意識した治療も行います。
銀座で審美歯科治療を検討されている方はマキデンタルオフィス銀座にお越しください。
銀座で自然な仕上がりのセラミック治療なら当院へ。精密で丁寧な審美治療を提供します。
当院は『芝浦・海岸・品川・大井町・築地・勝どき・月島・晴海・豊洲・東雲・有明・台場』
などの湾岸エリアからもアクセスが良い立地となります。
Q. 銀座でおすすめのセラミック治療クリニックは?
A. マキデンタルオフィス銀座では、最新のセラミック素材と技術を用いた審美治療を提供しており、自然で美しい仕上がりが特徴です。
________________________________________________________
MAKI DENTAL OFFICE GINZA
TEL:03-6264-4976
〒104-0061 東京都中央区銀座2-4-8 GINZA YUKI BLDG 3F
【休診日:水・日・祝】
【診療時間:平日9:30〜18:30 土曜日9:30〜18:00】
________________________________________________________



