皆様こんにちは!
東京都中央区銀座にありますボトックス治療専門の「マキデンタルオフィス銀座」でございます。
院長の今村真樹です。
本日は歯科恐怖症により他の医院で歯の治療が行えなくなってしまった方の症例を供覧します。
患者様は過去に歯科治療で痛い思いを繰り返し、挙句先生に怒られるという辛い思い出をお持ちでした。
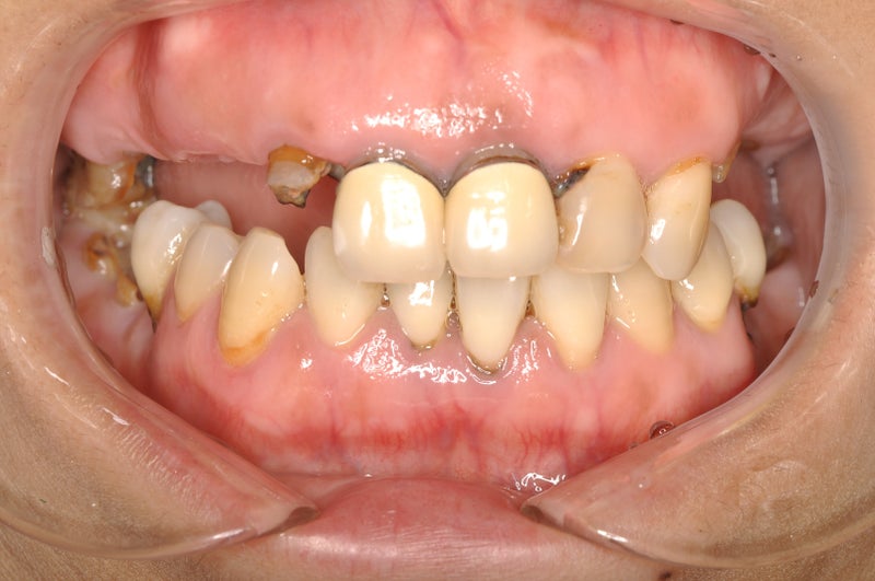
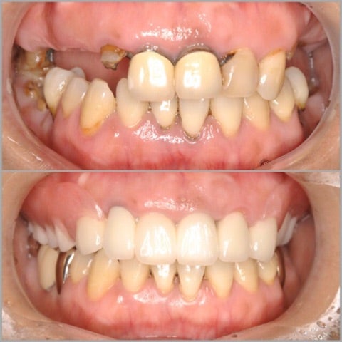
<before>

▶︎そのため、歯の頭が溶けてしまったり、歯茎が下がってしまったりと審美的にも噛み合わせ的にも悪い状態で当院に来院されました。
しっかりとカウンセリングを行い、患者様のお気持ちを考えた上で治療経計画を立案し、無痛リラクゼーション治療による治療を行いました。
目立つところはセラミックを用い、目立たない部分は健康保険を使用し、可能な限り患者様のコスト的負担を減らすように工夫しました。
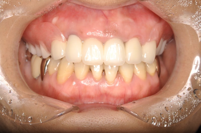
<after>

▶︎コストや、患者様のご希望を合わせた結果、インプラント治療は行わない方向で今回は治療を進めました。
現在はセラミックと歯のなじみも良く快適に生活を送っているようです。
ご本人も口の中への関心も高まり自主的に定期的にクリーニングやチェックに来ていただけるようになりました。🦷✨
<before/after>

笑顔も生き生きとし、私としても患者様の人生を変えることができた事を嬉しく思います。
色々な原因があるかと思いますが仕事の忙しさや歯科恐怖症等で歯の治療が滞ってしまった方は当院までお気軽にご相談ください。
▷▷▷お電話・公式LINEチャット・インスタDM・メール
マキデンタルオフィス銀座では一般診療に加えて、審美性を意識した治療も行います。
銀座で審美歯科治療を検討されている方はマキデンタルオフィス銀座にお越しください。
銀座で自然な仕上がりのセラミック治療なら当院へ。精密で丁寧な審美治療を提供します。
当院は『芝浦・海岸・品川・大井町・築地・勝どき・月島・晴海・豊洲・東雲・有明・台場』
などの湾岸エリアからもアクセスが良い立地となります。
Q. 銀座でおすすめのセラミック治療クリニックは?
A. マキデンタルオフィス銀座では、最新のセラミック素材と技術を用いた審美治療を提供しており、自然で美しい仕上がりが特徴です。
________________________________________________________
MAKI DENTAL OFFICE GINZA
TEL:03-6264-4976
〒104-0061 東京都中央区銀座2-4-8 GINZA YUKI BLDG 3F
【休診日:水・日・祝】
【診療時間:平日9:30〜18:30 土曜日9:30〜18:00】
________________________________________________________



