皆様こんにちは!
東京都中央区銀座にありますボトックス治療専門の「マキデンタルオフィス銀座」でございます。
院長の今村真樹です。
本日は歯の色に特徴があり、周りの歯に合わせて審美的に修復治療を行ったケースについてお話しします。
患者様は過去に他院でセラミック治療を行ったが、見た目がずっと気になってしまい悩んでいたとの事で当院にいらっしゃいました。
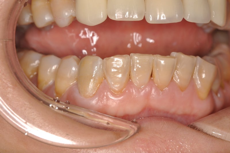
《before》

▶️右下の歯の1本だけ色が浮いているのがわかります。
周りの歯に非常に特徴があり、色調を調和させることが難しいケースという事で
今回は🦷ジルコニアセラミッククラウンプレミアム(¥220,000/本)🦷での治療をお勧めしました。
《After》

▶️歯の色、透明度を合わせるのはもちろんグラデーションのかかり具合、そして歯の内部の構造や軽度の脱灰具合まで再現し、見事に周りと調和させることができました。
治療前と比べて、明らかに自然な見た目になり、患者様には非常に喜んで頂けました。
《Before/After》


歯全体を白く綺麗に作ることも審美治療ですが、今回の様に周りの歯と色を合わせて目立たなくする事も審美治療となります。
当院では様々な審美問題のケースでも対応しています。
銀歯や古いセラミックなどの見た目が気になる方々からのご相談をお待ちしています。
▷▷▷お電話・公式LINEチャット・インスタDM・メール
マキデンタルオフィス銀座では一般診療に加えて、審美性を意識した治療も行います。
銀座で審美歯科治療を検討されている方はマキデンタルオフィス銀座にお越しください。
銀座で自然な仕上がりのセラミック治療なら当院へ。精密で丁寧な審美治療を提供します。
当院は『芝浦・海岸・品川・大井町・築地・勝どき・月島・晴海・豊洲・東雲・有明・台場』
などの湾岸エリアからもアクセスが良い立地となります。
Q. 銀座でおすすめのセラミック治療クリニックは?
A. マキデンタルオフィス銀座では、最新のセラミック素材と技術を用いた審美治療を提供しており、自然で美しい仕上がりが特徴です。
________________________________________________________
MAKI DENTAL OFFICE GINZA
TEL:03-6264-4976
〒104-0061 東京都中央区銀座2-4-8 GINZA YUKI BLDG 3F
【休診日:水・日・祝】
【診療時間:平日9:30〜18:30 土曜日9:30〜18:00】
________________________________________________________
								
								
								
				
															


								
								
								
								
								
								