皆様こんにちは!
東京都中央区銀座にありますボトックス治療専門の「マキデンタルオフィス銀座」でございます。
院長の今村真樹です。
最近は真夏のような暑さが続いていますね。夏の日差しが強い中、より目立ってくる歯の色や形、、、。
本日は当院の治療で最も多い『審美ジルコニアセラミック治療』についてお話しします。
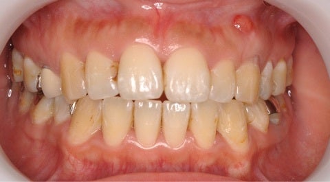
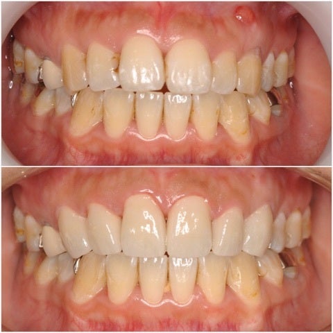
患者様は以前より前歯の歯並び、審美不良にお困りで当院に相談いただきました。

▶︎確かに前歯の前方突出や、古い虫歯治療の痕、更には犬歯の根の先に大きな膿が溜まってしまっています。
歯の色も黄色っぽいという点も気にされて人前で笑顔になるのが気になってしまうと悩まれていたため相談のうえ、審美セラミック治療を行う事になりました。
また今回の患者様は歯科恐怖症もあるため当院の無痛治療で治療を進めていきました。
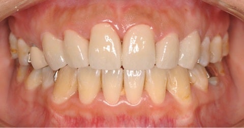
《After》
犬歯の根の治療もしっかり行ったため、歯茎の腫れも完治していることが分かります。
周りの歯より若干白いのは患者様の希望で、今後ホワイトニングをしていきたいとの事でしたので1トーン明るく仕上げています。
今回もジルコニアセラミッククラウンプレミアムでの治療で行ったため、歯のツヤや透明感が美しい仕上がりとなっています。
🦷上前歯6本:ジルコニアセラミック プレミアム ¥220,000-/本🦷
▶︎前歯が綺麗になったため、周りの歯の古いセラミックや銀歯も気になるという事なので、今後その他の虫歯治療を含め、追加で審美治療を行っていく予定です。
この写真もセラミックが入った当日に撮影したものにも関わらずセラミックと歯茎のなじみがとても良好である事がわかります。
これは、仮歯の時点でしっかりと歯茎の状態を整えていたためいい歯茎の状態で最終的なセラミックに移行することが出来ました。
現在患者様は前歯の完成度にとても満足して頂き素敵な笑顔で過ごされています。✨🦷
当院では、歯並びや歯の色、治療の跡が汚くなってきたなど、審美的な相談を随時行っていますので
まずはお気軽にカウンセリングでお悩みを相談して頂ければと思います。
夏の日差しで輝く白い歯を手にするお手伝いが出来れば幸いです。
▷▷▷お電話・公式LINEチャット・インスタDM・メール
マキデンタルオフィス銀座では一般診療に加えて、審美性を意識した治療も行います。
銀座で審美歯科治療を検討されている方はマキデンタルオフィス銀座にお越しください。
銀座で自然な仕上がりのセラミック治療なら当院へ。精密で丁寧な審美治療を提供します。
当院は『芝浦・海岸・品川・大井町・築地・勝どき・月島・晴海・豊洲・東雲・有明・台場』
などの湾岸エリアからもアクセスが良い立地となります。
Q. 銀座でおすすめのセラミック治療クリニックは?
A. マキデンタルオフィス銀座では、最新のセラミック素材と技術を用いた審美治療を提供しており、自然で美しい仕上がりが特徴です。
________________________________________________________
MAKI DENTAL OFFICE GINZA
TEL:03-6264-4976
〒104-0061 東京都中央区銀座2-4-8 GINZA YUKI BLDG 3F
【休診日:水・日・祝】
【診療時間:平日9:30〜18:30 土曜日9:30〜18:00】
________________________________________________________





