皆様こんにちは!
東京都中央区銀座にありますボトックス治療専門の「マキデンタルオフィス銀座」でございます。
院長の今村真樹です。
当院ではGW真っ只中ですが本日も診療を行っております。
では、本日も審美治療の経過をご報告いたします。
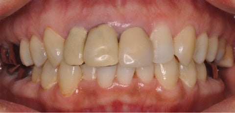
患者様は前歯の被せ物を昔に健康保険で作成し、見た目が気になってしまい長い間悩まれており、カウンセリングにいらっしゃいました。
<初診カウンセリング時>

また左上の1本だけメタルボンドというセラミックの歯が入っているのですが見た目が美しくありません。
ご本人の希望により、左右の対称性および、審美性を統一したいとの事でしたので、ジルコニアセラミッククラウン プレミアムでの審美治療を開始致しました。

▶︎左右を対象的に作成するため、上の歯の4本、かみ合わせの関係上、右下の犬歯の治療を行っています。
患者様の希望で、他の歯は今後ホワイトニングを行っていきたいとの事でしたので、周りの歯よりも若干白く仕上がっていることがわかります。
▶︎前歯の審美性が改善出来ました。
患者様のお仕事の関係上中々来院できなかったため治療期間は約3か月ほどかかりましたが、コンスタントに行けば1か月程度で終了できた症例だったと思います。
しかし、審美的な改善と、比較的短期の治療期間であったため、患者様には大変喜んで頂けました。
今後は奥歯の銀歯も白く治して行きたいと仰って頂いています。
やはり、今回のケースも治療前後での笑顔の作り方が変わり、治療前は殆ど笑顔が無かった方でしたが、審美治療を終えてから素敵な笑顔をされるようになりました。
普段の生活で笑顔が増えると、大げさではなく生活の質及び人生が変わります。✨
これは、様々な審美ケースを治療させて頂いて患者様の声を聞き、本当に感じる事です。
歯が原因でうまく笑えることが出来ず、悩まれている方は是非当院にご相談ください。
▷▷▷お電話・公式LINEチャット・インスタDM・メール
マキデンタルオフィス銀座では一般診療に加えて、審美性を意識した治療も行います。
銀座で審美歯科治療を検討されている方はマキデンタルオフィス銀座にお越しください。
銀座で自然な仕上がりのセラミック治療なら当院へ。精密で丁寧な審美治療を提供します。
当院は『芝浦・海岸・品川・大井町・築地・勝どき・月島・晴海・豊洲・東雲・有明・台場』
などの湾岸エリアからもアクセスが良い立地となります。
Q. 銀座でおすすめのセラミック治療クリニックは?
A. マキデンタルオフィス銀座では、最新のセラミック素材と技術を用いた審美治療を提供しており、自然で美しい仕上がりが特徴です。
________________________________________________________
MAKI DENTAL OFFICE GINZA
TEL:03-6264-4976
〒104-0061 東京都中央区銀座2-4-8 GINZA YUKI BLDG 3F
【休診日:水・日・祝】
【診療時間:平日9:30〜18:30 土曜日9:30〜18:00】
________________________________________________________



