皆様こんにちは!
東京都中央区銀座にありますボトックス治療専門の「マキデンタルオフィス銀座」でございます。
院長の今村真樹です。
本日は審美治療では必ずといって良いほどよく説明をするセラミックの歯の種類についてお話しします。
セラミックでの審美治療のメリットは先日のブログでお話しした「セラミック治療をお勧めする3つの理由」
https://ameblo.jp/maki-ameblo/entry-12118767610.html
をご覧ください。

セラミックにも種類があることはご存知でしょうか?
大きく分類すると…
・ハイブリッドセラミック
・オールセラミック
・メタルボンドセラミック
・ジルコニアセラミック
があります。
1つずつご説明させていただきます。
▶️ナノフィラーと呼ばれる超微粒子セラミックスをプラスチック(レジン)の中に高密度に混ぜ合わせたもので、セラミックスとプラスチックの特徴が合わさっている素材です。
セラミックのような白さと硬さがあり、プラスチックのような粘り強さがあります。
⭕️メリット…低価格セラミック治療として良く扱われている素材で、とりあえず安くて白い歯が良いと考える方には良い治療法だと考えます。
❌デメリット...色調再現性が低かったりレジンの劣化による変色や、破折のリスクが高くなるという点が挙げられます。
また、表面性状が荒いため、プラークなどの汚れが付きやすい傾向があります。
※当院では過去の患者様の意見を取り入れた結果、デメリットの点が結果的に患者様の満足度を下げてしまうという結論に至り、当院ではこの材料は使用しておりません。
▶️全て歯科用セラミックス(陶材)だけで出来ている素材です。
金属を使用しないことでメタルフリー治療が可能となり、天然歯のような透明感や明るさを再現することができるため、自然な美しい仕上がりになります。
歯の根元や歯ぐきが黒くなることがないので、審美性が要求される前歯や奥歯の治療また部分的に被せる治療(インレー修復)に最適です。また生体親和性が高い為、身体にやさしく、金属アレルギーの心配もありません。
表面も滑沢で汚れが付きにくく、強度も高いため、奥歯の治療に良く使用されます。
当院のオールセラミック治療ではIvoclar vivadent社製のe-maxプレスセラミックを標準使用しております。
Click➡️https://www.ivoclarvivadent.jp/jp/ips-emax-for-technicians/ips-emax

▶️金属の骨組みの上にセラミックを盛り上げ(築盛)、焼き付けることによって作成されます。
メタルボンドとは古くからあるセラミッククラウンで、高齢の方や、昔にセラミック治療をしたであろう中~高年の芸能人等にも良く装着されているのを見かけます。
適応する範囲が広く、金属の裏打ちがあるため、比較的長い設計のブリッジも作成可能です。
欠点として金属の裏打ちがあるため、丈夫ですが透明感はオールセラミックより劣ります。
前歯に使用すると、歯と歯茎の境目が暗く見える事があります。
健康保険の歯に比べると歯茎に溶け出す金属の量は少ないのですが、金属の裏打ちがある分透明度が下がり、いかにも作り物のような不透明な歯に仕上がることが多くなります。
(左:メタルボンドセラミック 右:オールセラミック)
また、使用する金属によりアレルギーのリスクもあります。
当院では審美性の劣る点、金属アレルギーのリスク、ノンメタル治療をお勧めする点から基本的にはメタルボンドをお勧めすることはありません。
(ブリッジの設計によってはメタルボンドでなければ難しい場合があり、その際は使用することもあります。)
(光の透過性の違い➡️左:メタルボンド 右:オールセラミック)
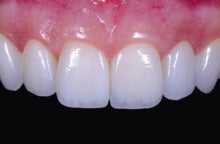
(写真はジルコニアセラミッククラウンプレミアム)
ジルコニアという、非常に硬く白い物質で人工ダイヤにも使われる物質材料で、これで骨組みを作り、その上にセラミックを盛り上げ焼付ます。
表面性状は滑沢で汚れも付きにくく、歯周病にもなりにくい材料と言えます。もちろん、金属を使用していないためアレルギーの心配はありません。
セラミックを焼き付けるため、高度な色調の調節も可能です。
そのため、強度もあり、周りの歯とよく調和し、自然な仕上がりが可能となります。適応範囲はすべての歯に使えます。
設計に無理がない範囲でブリッジにも使用可能です。強度と、色調再現性のバランスが非常に良いため当院では前歯から奥歯まで多く使用されている素材になります。
《ジルコニアセラミックに関しては…🦷✨》
1️⃣一般的な歯科で使用されるグレードのスタンダード。
2️⃣完成までに厳しいチェックを繰り返し、合格した物のみが採用され、患者様に提供されるファイン。
3️⃣セラミックを作成する技工士を教育する先生が患者様のためにクリニックに訪問し、希望に合った歯を
フルオーダーメイドで作成するプレミアムとグレードを選択することが可能です。
いずれの治療にしても、患者様の希望に添った治療を提案いたしますのでご安心ください。
当院はドクターやスタッフに治療の相談がしやすい環境を整えていますのでお気軽にご相談ください。
▷▷▷お電話・公式LINEチャット・インスタDM・メール
マキデンタルオフィス銀座では一般診療に加えて、審美性を意識した治療も行います。
銀座で審美歯科治療を検討されている方はマキデンタルオフィス銀座にお越しください。
銀座で自然な仕上がりのセラミック治療なら当院へ。精密で丁寧な審美治療を提供します。
当院は『芝浦・海岸・品川・大井町・築地・勝どき・月島・晴海・豊洲・東雲・有明・台場』
などの湾岸エリアからもアクセスが良い立地となります。
Q. 銀座でおすすめのセラミック治療クリニックは?
A. マキデンタルオフィス銀座では、最新のセラミック素材と技術を用いた審美治療を提供しており、自然で美しい仕上がりが特徴です。
________________________________________________________
MAKI DENTAL OFFICE GINZA
TEL:03-6264-4976
〒104-0061 東京都中央区銀座2-4-8 GINZA YUKI BLDG 3F
【休診日:水・日・祝】
【診療時間:平日9:30〜18:30 土曜日9:30〜18:00】
________________________________________________________



