logo
icon-facebook
Facebook
icon-instagram
Instagram
LINE
WEB予約
LINE予約

銀座の歯医者・歯科 マキデンタルオフィス銀座

9:30~13:00/14:00~18:30   休診日 水・日・祝日
ブログ
【歯科恐怖症・セラミック治療】セラミック治療をお勧めする3つの理由《東京・銀座の歯医者・セラミック治療・審美歯科・審美治療・セラミック・無痛治療・無痛歯科短期治療》

皆様こんにちは!

東京都中央区銀座にありますボトックス治療専門の「マキデンタルオフィス銀座」でございます。

 

 


院長の今村真樹です。

 

本日は当院で一番行っていると言っても過言ではないセラミック治療についてお話しします。🦷✨

 

今回はとてもボリュームのある内容のため、まとめ形式で記事にしてみました。

 

 

 

 
 

オールセラミックは非常に透明感があり、人工の歯ということが分からないくらい白くて艶のある綺麗な材質です。

健康保健で使用される歯や、昔からあるメタルボンドと言われるセラミックでは金属を使用しているため、透明感が無く、装着後、歯と歯茎の間に薄い影を作ってしまいます。

また、金属イオンが口の中に溶け出し、メタルタトゥと呼ばれる歯茎の色の黒ずみを引き起こす原因となってしまいます。

よく、笑った際に歯と歯茎の境目が黒くて気になると相談を受けることがありますが、殆どがこの理由です。

 

▶️[保険の前歯で歯茎に色素沈着してしまった例

セラミック治療で黒い境目を直した後にも、歯茎に染み込んでしまっている黒ずみに対しては

レーザー治療で色素の除去することもあります。

当院で使用しているセラミック歯は精度、強度、審美性の条件を持った良質なセラミックを提供しています。

 
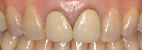
▶️[メタルボンドにより歯茎に黒いラインが出来てしまった例
 
 
▶️[セラミック治療後

また、作成されるセラミックのグレードも3タイプから選ぶことができますので。

患者様のニーズに合ったセラミックを選択して頂けます。

 

2️⃣『身体に対してとても安全な材料

銀歯や、保険の前歯などに使用される金属はお口の中に入ると最初、何となく酸っぱい様な味がします。

それは金属の成分が唾液に触れてイオン化し口の中に溶け出しているためです。

この銀歯は常にイオン化して金属成分が溶け出ています。

人によってはこの銀歯が原因で金属アレルギーとなる事があります。

健康保険で使用される銀歯は一口に【銀歯】と言っても、金、銀、銅、パラジウム、スズ、亜鉛、イリジウム、インジウムといった様々な金属が混ぜられていて、材質としては非常に不安定な素材です。

 

▶️[上:保健治療で劣化した前歯[下:セラミック治療後
 

さらに、義歯で使用されている金属には、コバルトやクロム等も使用されています。

よくある話ですが、今まで銀歯を入れていても問題なかったのに、新しく銀歯の治療を追加したら金属アレルギーの症状が出てきた。という相談も受けることがあります。

これは、花粉症のように体のアレルゲンに対する許容量が限界を超えてしまったことが原因であると考えられています。

セラミック歯は自然にある成分で作られている為、金属のように唾液で溶け出したりせずとても安定しています。

人工関節など身体の中に入れても問題なく使用出来、生体親和性が高く医療の分野で幅広く使用されている体に優しい素材になります。

 

3️⃣『汚れがつきにくく虫歯になりにくい

せっかくセラミックの歯を入れても虫歯にならないか心配と思ったことはありませんか?

オールセラミックの表面は天然の歯と比べても、より滑沢でプラークなどの歯の汚れが付きにくくなります。

当然セラミック自体が虫歯になるということはないのですが、着色や、バイオフィルムといわれる歯の黄ばみも起こりにくい材料です。

 

更に、セラミックと歯の隙間からの虫歯にもなりにくいという特徴があります。

 

虫歯の発生は歯と詰め物の隙間から起こる事が非常に多いです。

それは詰め物の強度や安定性に問題があります。

 

口の中は酸性やアルカリ性など、phの変化が激しく、熱い食事や冷たい飲み物を飲んだり非常に過酷な環境です。更に、1日最低でも3食、食事で咀嚼を行い、歯には強い負荷がかかっています。

 

その中でオールセラミックは銀歯のように錆びたり、プラスチックのように急激に劣化したりしない強度と精度、

そして安定性を持っているため詰め物の周囲から生じる2次齲蝕になりにくい材質と言われています。

 

ただし、安心して歯磨きやクリーニングを怠ると、ほかの天然の歯と同じように歯の寿命は短くなってしまいますので、やはり定期的なメンテナンスは必要となります。

 

4️⃣『最後に…

当院のオールセラミックは全てコンピュータで設計され、高い精度で作り出されます。

更にはセラミック歯の作成にはセラミストと呼ばれる専門の技工士が顕微鏡を使用し、チェック、最終仕上げを行い、患者様それぞれの歯の状況に合った精密な歯を作成します。

そのため、歯を入れた後でも長期にわたり使用できる歯を提供しています。

 

今回は非常に長い記事になってしまいましたが、まだまだ膨大な情報の一部です。

それではこれからも皆様に安心して治療を受けて頂くために情報発信を行って参りますので、よろしくお願い致します。

 


▷▷▷お電話公式LINEチャットインスタDMメール

マキデンタルオフィス銀座では一般診療に加えて、審美性を意識した治療も行います。
銀座で審美歯科治療を検討されている方はマキデンタルオフィス銀座にお越しください。

銀座で自然な仕上がりのセラミック治療なら当院へ。精密で丁寧な審美治療を提供します。

当院は『芝浦・海岸・品川・大井町・築地・勝どき・月島・晴海・豊洲・東雲・有明・台場

などの湾岸エリアからもアクセスが良い立地となります。

Q. 銀座でおすすめのセラミック治療クリニックは?
A. マキデンタルオフィス銀座では、最新のセラミック素材と技術を用いた審美治療を提供しており、自然で美しい仕上がりが特徴です。


________________________________________________________
MAKI DENTAL OFFICE GINZA

TEL:03-6264-4976
〒104-0061 東京都中央区銀座2-4-8 GINZA YUKI BLDG 3F

【休診日:水・日・祝】

【診療時間:平日9:30〜18:30 土曜日9:30〜18:00】

________________________________________________________

最新記事
S__13787160

監修者

院長   今村 真樹(いまむら まき)

私は大学病院で歯科口腔外科、口腔内科治療を主に学び、歯だけでなく全身を診ることの出来る歯科医を目指し研鑽してまいりました。

当時、第一印象を決めるのは口元が大事だと思ったことから、審美的な分野にも関心を持ち、口腔外科の医局員時代から審美歯科も並行して学びました。
更には、歯医者が痛くて怖いと苦手に感じている方々に対しても外科治療や審美治療を安心して受けていただきたいとの思いから、当オフィスの静脈内鎮静法「無痛リラクゼーション治療」の勉強を行ってまいりました。

皆様には心から安心して快適に歯科治療をお受けしていただけるよう益々技術を自己研鑽して参ります。