皆様こんにちは!
東京都中央区銀座にありますボトックス治療専門の「マキデンタルオフィス銀座」でございます。
院長の今村真樹です。
本日は当院で行うことの出来る<短期集中治療>のご説明をします。🕰️🦷
いきなりですが…皆様は長い期間、歯の治療で歯医者に通うことはできますか?💡
《おそらく多くの方が…》
・「仕事が忙しくて頻繁に歯医者に通えない」
・「家が遠いのでたくさん通院するのが大変」
・「時間はあるけど歯医者に通う時間がもったいない」
・「一回でまとめて治療をして早く終わらせてもらいたい」
・「以前歯医者で全部治すには1年以上かかると言われた」
・「歯医者に通っているけどいつ治療が終わるのか分からなくて不安になってきた」
などのお悩みを抱えていると思います。
これらの悩みは、私自身が初診の患者様から実際によく相談を受ける内容です。
当院ではそのような患者様のご希望に添えるように「短期集中治療🕰️🦷」という方法を提案しています。

▶️短期集中治療とは…
当院の無痛治療である「無痛リラクゼーション治療」を併用し、一度のご予約で90分~3時間程度の治療時間を確保し、数か所まとめて治療を進める事が可能な治療方法です。
治療の内容によっては進めることのできる本数は変化しますが、小さい虫歯ほどの治療であれば3~6本くらいは一回の治療で終了することが可能です。
また、短期集中治療を御希望の方には初診時にカウンセリングを行い、全体的な治療方法、治療期間、費用の説明をさせて頂いて、納得された上で実際の治療を開始します。
それでは実際の治療例です‼️✨
患者様はとても仕事が忙しく、月に2、3回程度しか通院できないでも、治療も怖いので短期集中治療をお願いしたいとの相談を受けました。
かかりつけの歯医者では全て治すのに1年以上かかると言われ、なかなか治療に踏み切れなかったとの事でした。
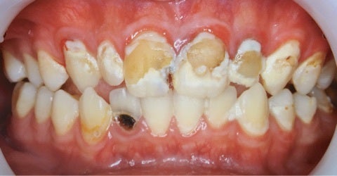
<初診時>

▶️若干の歯科恐怖症もあるとの事で、悪い状態を放置してしまった様です。
最初の予想治療期間は5か月程度と説明させて頂き、実際の治療を開始しました。
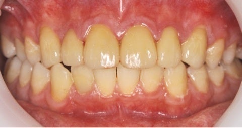
<治療終了後>

基本的に1回の治療時間は2時間で行い、治療内容により3時間の治療も行いました。
ご本人様にも予想より早く治療終了したことに大変喜んでいただきました‼️
また歯の健康を維持するためのモチベーションも上がり、今後も健康な状態をキープしていけると期待できます。🦷✨
短期集中治療は 「無痛治療」または「審美治療を含む自由診療」を併用した場合のみのご案内とはなってしまいますが、大変多くの方に喜んで頂いている治療方法です。
まずはカウンセリングを行い、治療の目安を聞いてみては如何でしょうか?
▷▷▷お電話・公式LINEチャット・インスタDM・メール
マキデンタルオフィス銀座では一般診療に加えて、審美性を意識した治療も行います。
銀座で審美歯科治療を検討されている方はマキデンタルオフィス銀座にお越しください。
銀座で自然な仕上がりのセラミック治療なら当院へ。精密で丁寧な審美治療を提供します。
当院は『芝浦・海岸・品川・大井町・築地・勝どき・月島・晴海・豊洲・東雲・有明・台場』
などの湾岸エリアからもアクセスが良い立地となります。
Q. 銀座でおすすめのセラミック治療クリニックは?
A. マキデンタルオフィス銀座では、最新のセラミック素材と技術を用いた審美治療を提供しており、自然で美しい仕上がりが特徴です。
________________________________________________________
MAKI DENTAL OFFICE GINZA
TEL:03-6264-4976
〒104-0061 東京都中央区銀座2-4-8 GINZA YUKI BLDG 3F
【休診日:水・日・祝】
【診療時間:平日9:30〜18:30 土曜日9:30〜18:00】
________________________________________________________



