皆様こんにちは!
東京都中央区銀座にありますボトックス治療専門の「マキデンタルオフィス銀座」でございます。
院長の今村真樹です。
〜当院は8月15日(土曜日)、16日(日曜日)、17日(月曜日)の3日間を夏期休診日とさせて頂きます〜
皆様にはご不便をお掛けしますが何卒ご理解頂けますようよろしくお願い申し上げます。
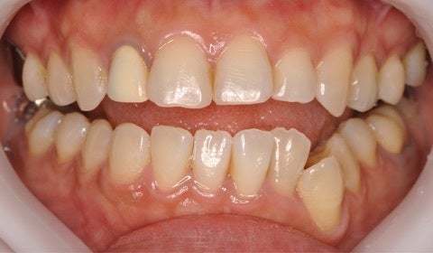
今回は、古い差し歯が周りの歯の色と合っていないため人前で笑うことに躊躇してしまう…
というご相談を受けました。
写真で言う左上の2番目の歯になります。
<before>

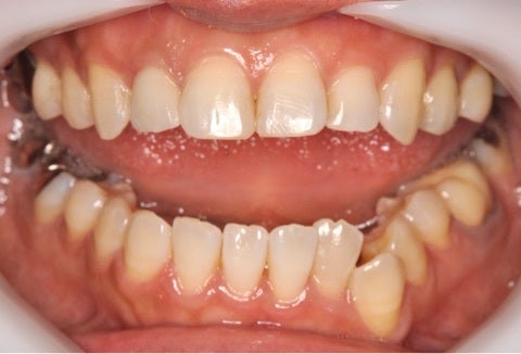
での治療を御希望されました。
歯の根の治療も綺麗にやり直し、グラスファイバーコア(¥11,000-/本)
を築造し、デンタルテクニシャン同席のもと、クラウン作成となりました。
<after>

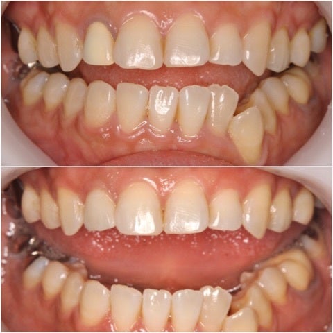
<before/After>

綺麗な歯になった事により、歯に対する意識も向上し、これから歯、口周りの美容を含め、定期的にメンテナンスを行って行く事となりました。歯の色が合っていなかったり、笑顔に自信が持てない方はお気軽にお問い合わせ下さい。
『尚、当院は 芝浦・海岸・品川・大井町・築地・勝どき・月島・晴海・豊洲・東雲・有明・台場などの湾岸エリアからもアクセスが良い立地となります。』
湾岸エリアで歯医者をお探しの方々のご来院もお待ち申し上げております。
▷▷▷お電話・公式LINEチャット・インスタDM・メール
マキデンタルオフィス銀座では一般診療に加えて、審美性を意識した治療も行います。
銀座で審美歯科治療を検討されている方はマキデンタルオフィス銀座にお越しください。
銀座で自然な仕上がりのセラミック治療なら当院へ。精密で丁寧な審美治療を提供します。
当院は『芝浦・海岸・品川・大井町・築地・勝どき・月島・晴海・豊洲・東雲・有明・台場』
などの湾岸エリアからもアクセスが良い立地となります。
Q. 銀座でおすすめのセラミック治療クリニックは?
A. マキデンタルオフィス銀座では、最新のセラミック素材と技術を用いた審美治療を提供しており、自然で美しい仕上がりが特徴です。
________________________________________________________
MAKI DENTAL OFFICE GINZA
TEL:03-6264-4976
〒104-0061 東京都中央区銀座2-4-8 GINZA YUKI BLDG 3F
【休診日:水・日・祝】
【診療時間:平日9:30〜18:30 土曜日9:30〜18:00】
________________________________________________________



