皆様こんにちは!
東京都中央区銀座にありますボトックス治療専門の「マキデンタルオフィス銀座」でございます。
インプラント治療は今ではとてもメジャーな治療となりましたが、インプラントを成功に導くためには様々な知識や、技術が必要となります。
それは、正確な診査・診断はもちろん、埋入技術、対合歯関係、隣接歯関係、感染予防、手術時の清潔、不潔の区別、患者様の生活習慣、口腔内管理などなど、多くの条件をクリアした上で安全、正確なインプラントが成立します。
それは、歯科全般の知識を集結させたものであり、一部分の知識や技術だけでは欠けている知識の分野に関して何らかのトラブルを引き起こす原因となります。
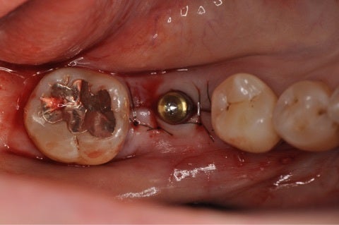
それでは当院でのインプラント手術の例です。
患者様は左下の奥歯が欠損してしまい、しっかり食事を摂りたいという希望で無痛治療でのインプラント手術を選択されました。



術前に綿密にシミュレーションを行っていたものとほぼ同じ位置に埋入されていることが確認できます。
今回は術後の痛みや腫れが殆ど無かったとのことで患者様には大変喜んで頂き、歯が入ることを楽しみにされています。
今後はこの歯茎から見えるインプラントに歯の形を作成していきます。
今回は埋入手術の話ですが、当院では上記にお話ししたインプラントの成立要件を全て確認し、シミュレーションを行い手術を行っています。
今や精密なインプラントを謳っている歯科医院は沢山あると思いますが、これからインプラント治療を御検討されている方々は何をもって精密かを良く確認して受診されることをお勧めします。
『なお、当院は 芝浦・海岸・品川・大井町・築地・勝どき・月島・晴海・豊洲・東雲・有明・台場などの湾岸エリア』からもアクセスが良い立地となります。
湾岸エリアで歯医者をお探しの方々のご来院もお待ち申し上げております。
▷▷▷お電話・公式LINEチャット・インスタDM・メール
マキデンタルオフィス銀座では一般診療に加えて、審美性を意識した治療も行います。
銀座で審美歯科治療を検討されている方はマキデンタルオフィス銀座にお越しください。
銀座で自然な仕上がりのセラミック治療なら当院へ。精密で丁寧な審美治療を提供します。
当院は『芝浦・海岸・品川・大井町・築地・勝どき・月島・晴海・豊洲・東雲・有明・台場』
などの湾岸エリアからもアクセスが良い立地となります。
Q. 銀座でおすすめのセラミック治療クリニックは?
A. マキデンタルオフィス銀座では、最新のセラミック素材と技術を用いた審美治療を提供しており、自然で美しい仕上がりが特徴です。
________________________________________________________
MAKI DENTAL OFFICE GINZA
TEL:03-6264-4976
〒104-0061 東京都中央区銀座2-4-8 GINZA YUKI BLDG 3F
【休診日:水・日・祝】
【診療時間:平日9:30〜18:30 土曜日9:30〜18:00】
________________________________________________________





