皆様こんにちは!
東京都中央区銀座にありますボトックス治療専門の「マキデンタルオフィス銀座」でございます。






▶️目立たない。
▶️比較的痛みが少ない。
▶️器具で口の中を傷つけない。
▶️食事の時や、大事な予定がある際に一時的に外しておくことができる。
▶️外して洗えるので清潔。
が、あります。
治療を行う際には噛み合わせについて精密な診査を行い、良い治療結果を得るために診断をします。
マウスピース矯正は適応か否かを判断する事がとても重要で、治療費も元の歯並びによって異なってくるので…
気になる方は一度ご相談ください。
『なお、当院は 芝浦・海岸・品川・大井町・築地・勝どき・月島・晴海・豊洲・東雲・有明・台場』などの湾岸エリアからもアクセスが良い立地となります。
湾岸エリアで歯医者をお探しの方々のご来院もお待ち申し上げております。
▷▷▷お電話・公式LINEチャット・インスタDM・メール
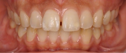
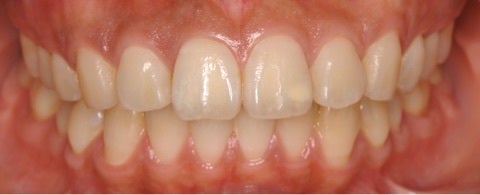
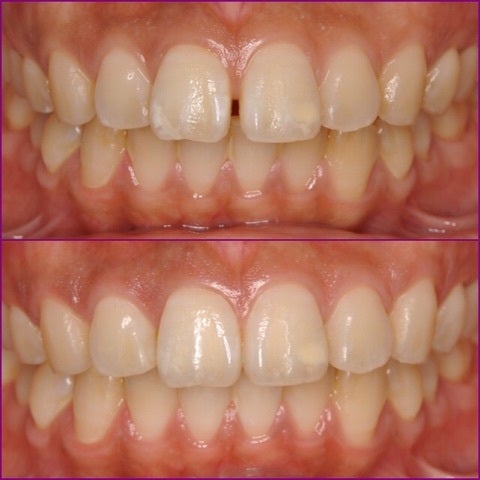
マキデンタルオフィス銀座では一般診療に加えて、審美性を意識した治療も行います。
銀座で審美歯科治療を検討されている方はマキデンタルオフィス銀座にお越しください。
銀座で自然な仕上がりのセラミック治療なら当院へ。精密で丁寧な審美治療を提供します。
当院は『芝浦・海岸・品川・大井町・築地・勝どき・月島・晴海・豊洲・東雲・有明・台場』
などの湾岸エリアからもアクセスが良い立地となります。
Q. 銀座でおすすめのセラミック治療クリニックは?
A. マキデンタルオフィス銀座では、最新のセラミック素材と技術を用いた審美治療を提供しており、自然で美しい仕上がりが特徴です。
________________________________________________________
MAKI DENTAL OFFICE GINZA
TEL:03-6264-4976
〒104-0061 東京都中央区銀座2-4-8 GINZA YUKI BLDG 3F
【休診日:水・日・祝】
【診療時間:平日9:30〜18:30 土曜日9:30〜18:00】
________________________________________________________



